Case 856
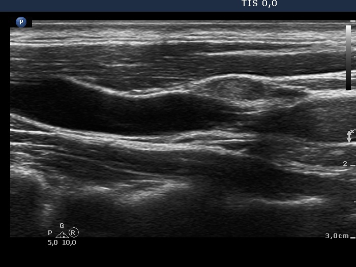
Follow-up investigation two years later (ultrasonographic picture 8)
|
|
|
|
Lateral to the left lobe, longitudinal scan. The node has echonormal or less hypoechoic and deeply hypoechoic fields.
