Case 974 (cytologic picture 1)
|
|
|
![]() |
|
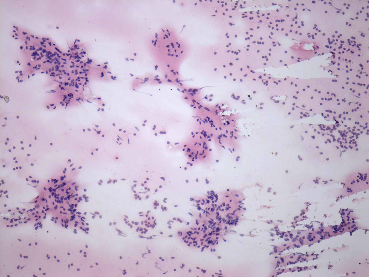
Pap-smear, 100x. There is diffuse colloid precipitate in the background. Follicular cells and lymphocytes are dissociated. There are several multinucleated cells present, as well.

