Case 974 (cytologic picture 3)


Previous picture Back to Case Maximize Next picture

Right lobe, longitudinal scan

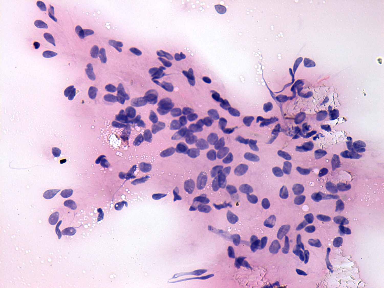
Pap-smear, 400x.   A multinucleated cell at higher magnification.

 

 

 

 

 

mask