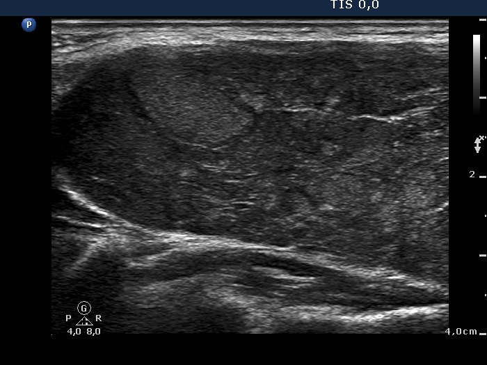
Case 974 (ultrasonographic picture 2)
|
|
|
|
Upper part of the right lobe, longitudinal scan. There are several smaller and one larger echonormal area within hypoechogenic background. Note fibrosis.
