Case conp 041 (cytologic picture 1)


Back to Case Maximize Next picture

Right lobe, longitudinal scan

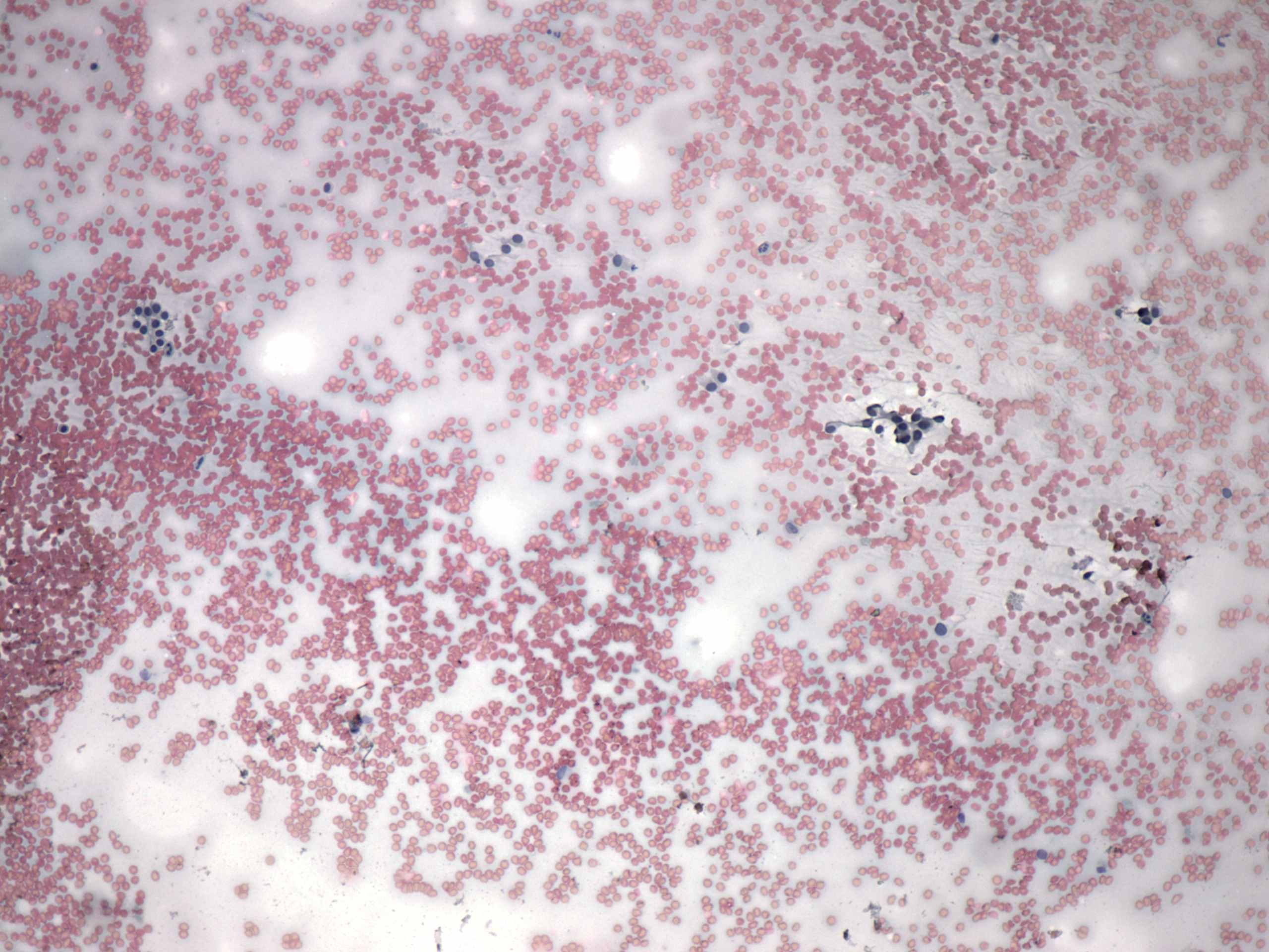
Pap-smear, 100x.   There is no colloid in the background. Follicular cells are located in micro- and normofollicles.

 

 

 

 

 

 

mask