Case conp 041 (cytologic picture 7)


Previous picture Back to Case Maximize Next picture

Right lobe, longitudinal scan

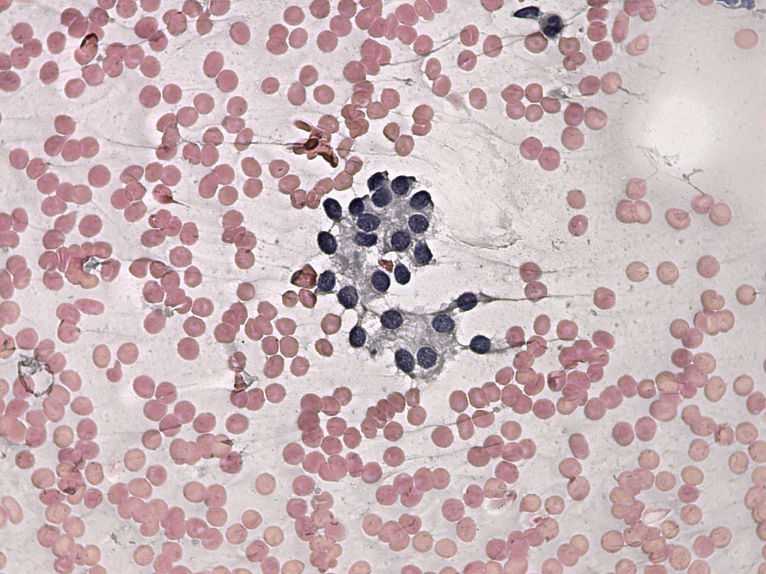
Pap-smear, 400x.   This is a reassuring pattern: the anisonucleosis without pleomorphism is the sign of hormonal atypia.

 

 

 

 

 

mask