Case cons100_010 (cytologic picture 6)


Previous picture Back to Case Maximize  

Right lobe, longitudinal scan

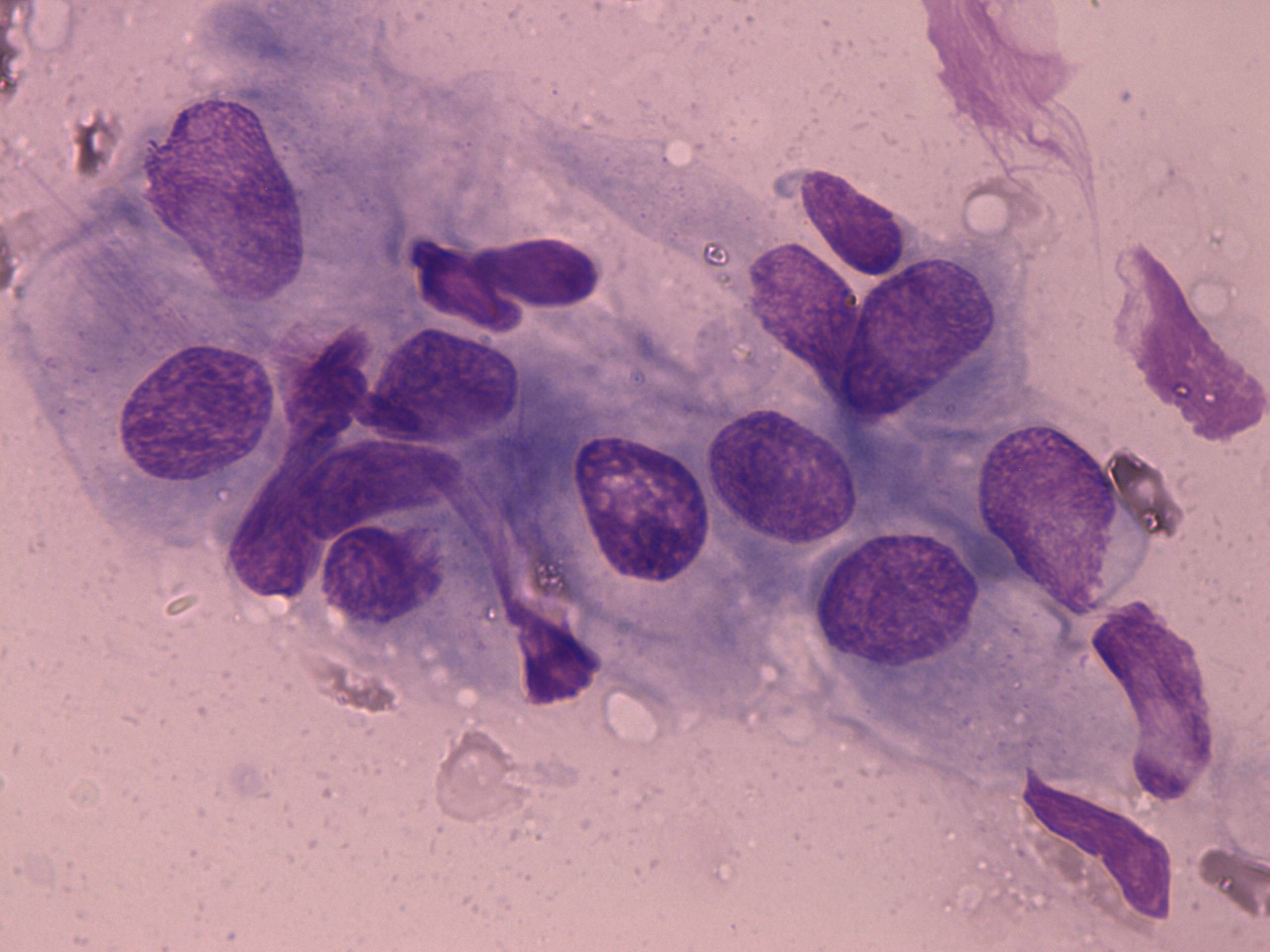
Wright-Giemsa staining, 1000x.  Atypical, elongated oxyphilic cells are presented.

 

 

 

 

 

mask