Case cons100_044 (cytologic picture 3)


Previous picture Back to Case Maximize Next picture

Right lobe, longitudinal scan

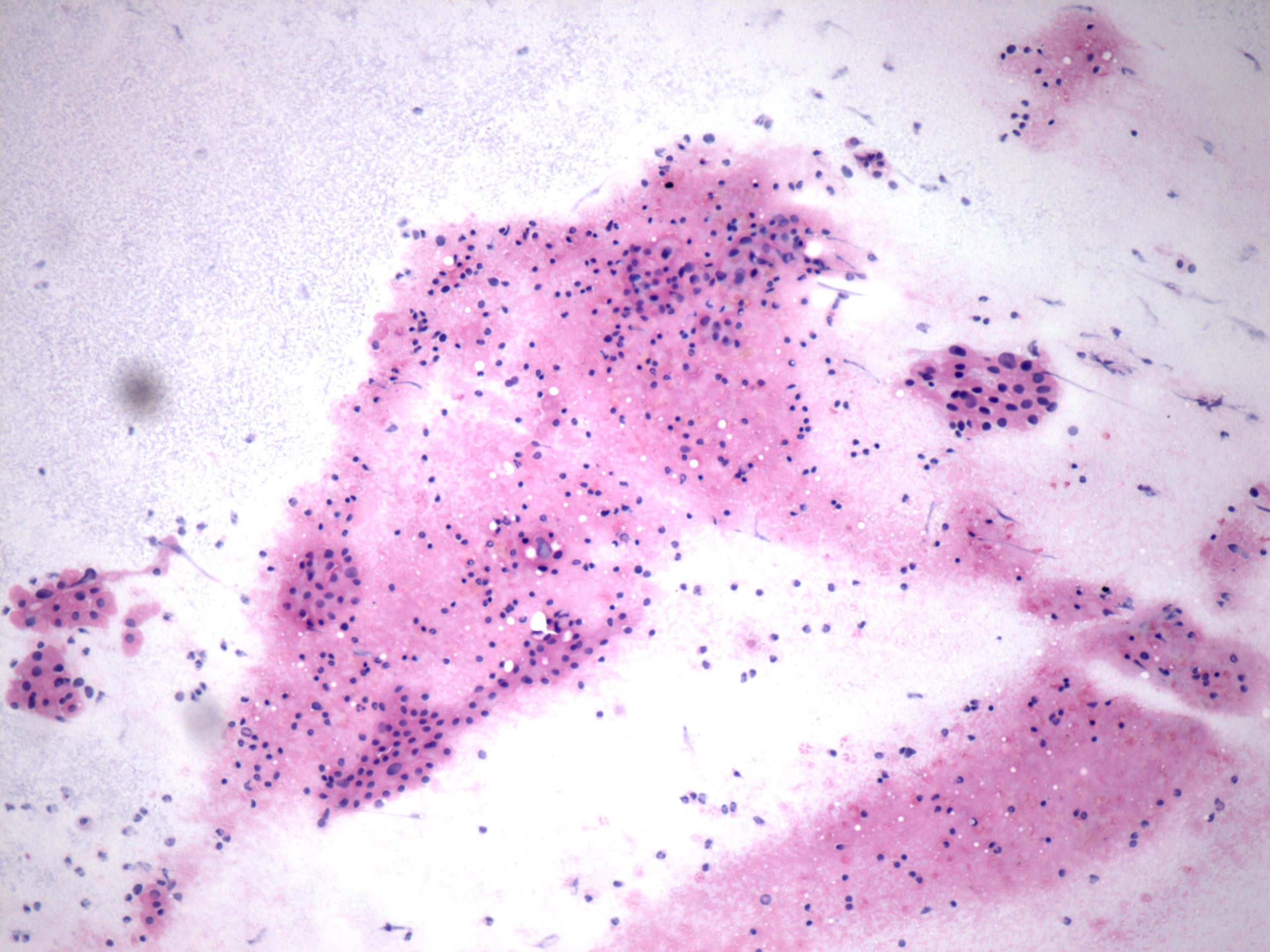
Pap-smear, 100x.  Oxyphilic cells are located in compact groups.

 

 

 

 

 

mask