Case cons100_044 (cytologic picture 4)
|
|
|
![]() |
|
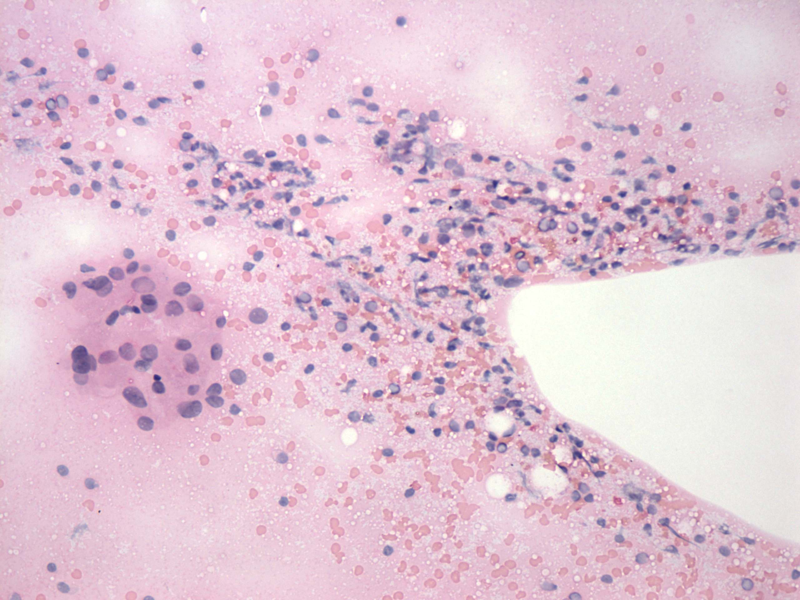
Pap-smear, 200x. This is the pathognomonic pattern of Hashimoto's thyroiditis: cell groups composed of oxyphilic cells mixed with lymphocytes. There is diffuse colloid in the background which is a relatively unusual finding in Hashimoto's thyroiditis.

