Thyroid cancers - case 1086 (cytologic picture 3)


Previous picture Back to Case Maximize Next picture

Right lobe, longitudinal scan

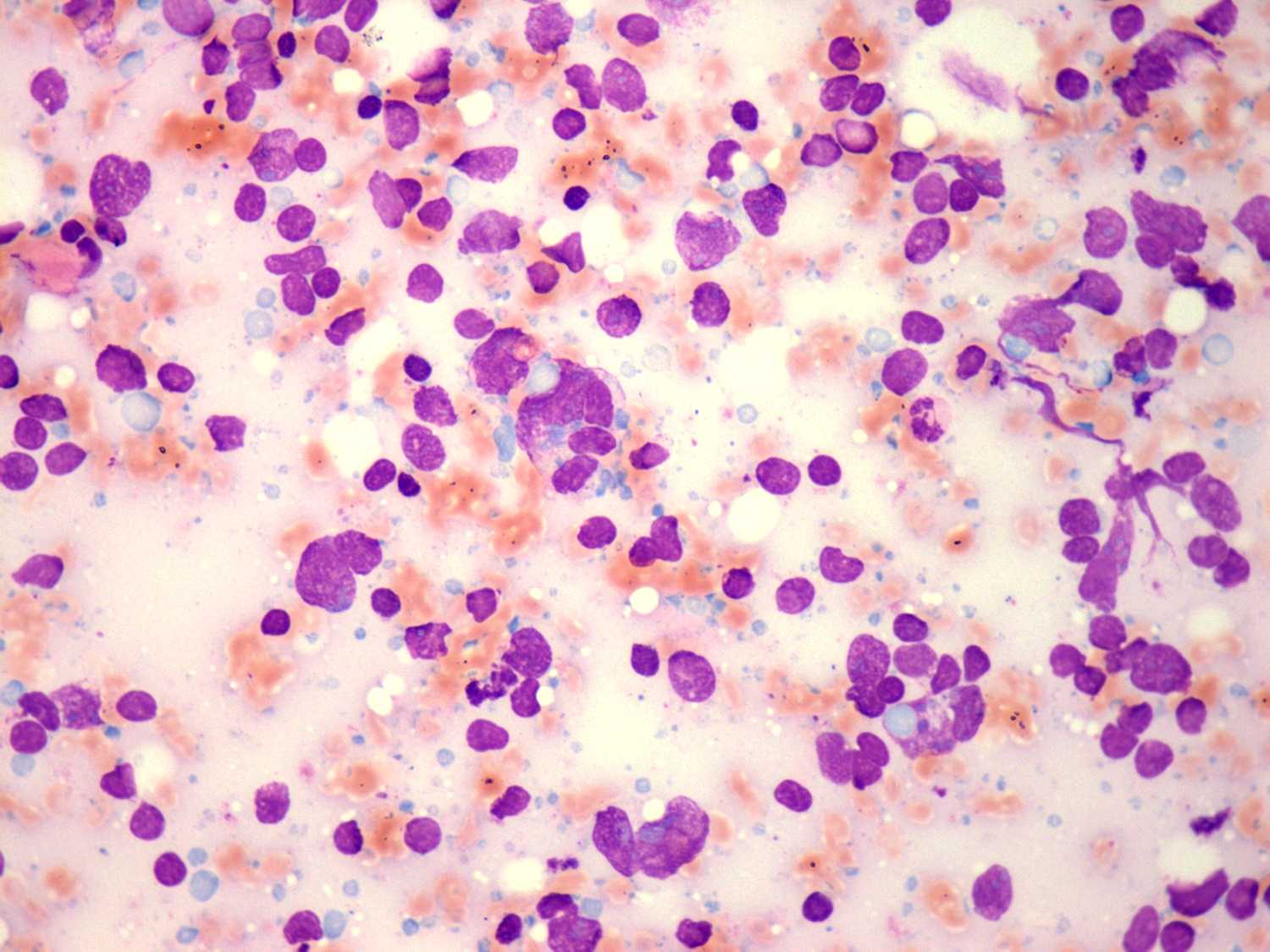
Wright-Giemsa staining, 400x.     There are atypical lymphoblasts with degenerative changes.

 

 

 

 

mask