Thyroid cancers - case 1086 (cytologic picture 4)


Previous picture Back to Case Maximize Next picture

Right lobe, longitudinal scan

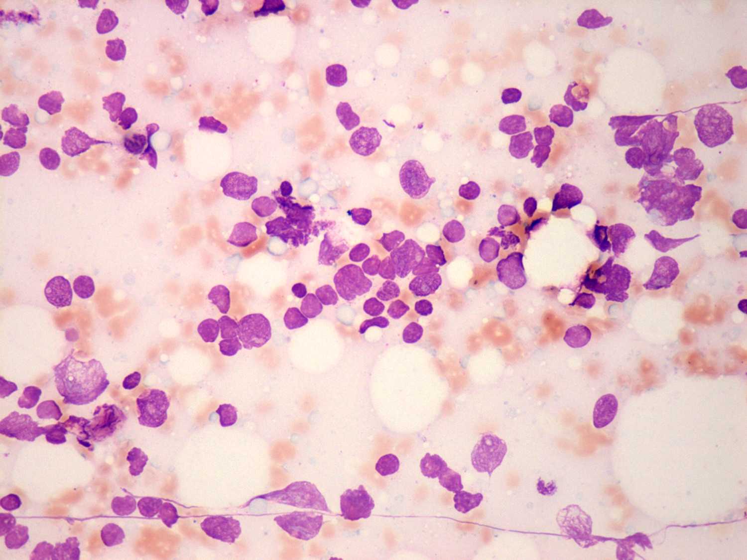
Wright-Giemsa staining, 400x.     This is the typical presentation of a small cell tumor with the characteristic nuclear molding.

 

 

 

 

mask