Thyroid cancers - case 1086 (cytologic picture 5)


Previous picture Back to Case Maximize  

Right lobe, longitudinal scan

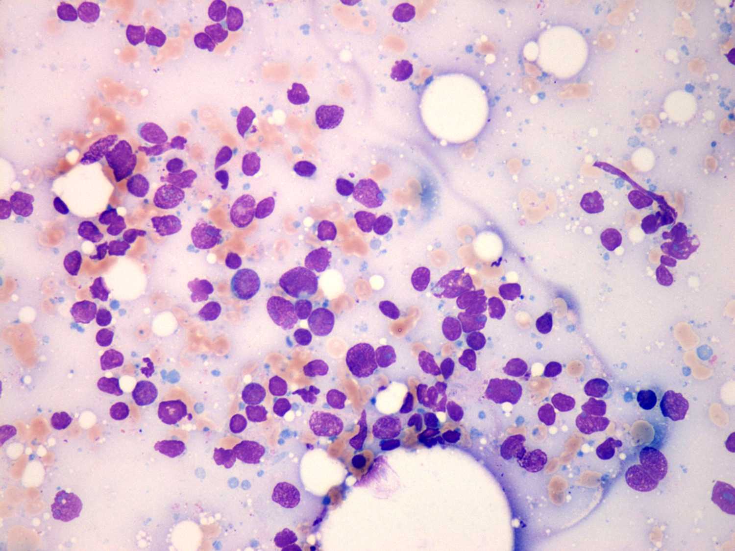
Wright-Giemsa staining, 400x.     Atypical lymphoblasts predominate the smear.

mask