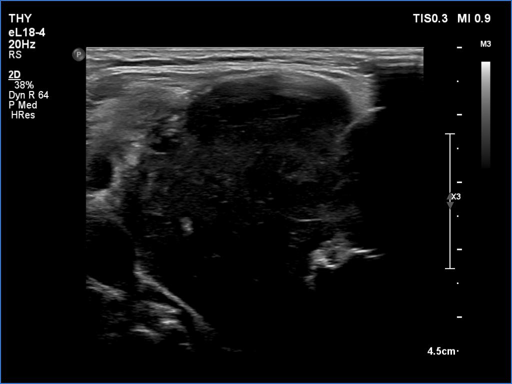
Thyroid cancers - case 1174 (ultrasonographic picture 3)
|
|
|
|
Right lobe, another transverse view - with more harmonization. By using this setting, it is impossible to differentiate between cystic and deeply hypoechoic structures.
