Thyroid cancers - case 1422 (histological picture 1)


Previous picture Back to Case Maximize Next picture

Right lobe, longitudinal scan

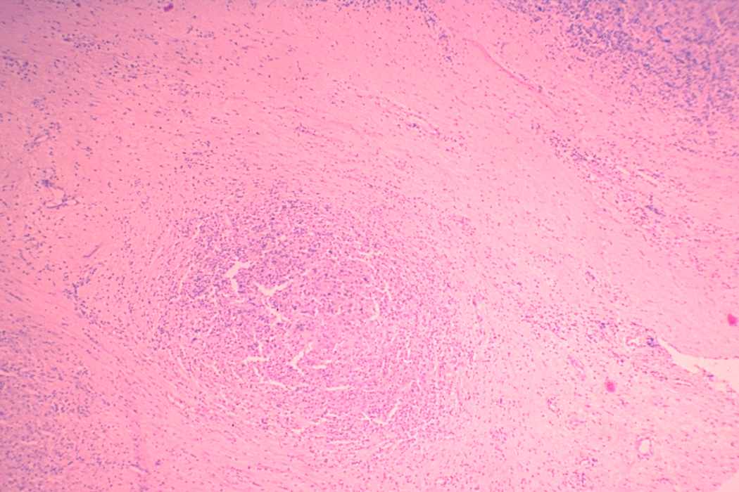
H.E. section, 40x. The lymphoid follicles are totally absent in the tumorous area.

 

 

 

mask