Thyroid cancers - case 1422 (histological picture 2)


Previous picture Back to Case Maximize Next picture

Right lobe, longitudinal scan

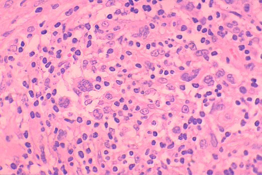
H.E. section, 400x.   Typical Reed-Sternberg cells are present in the tumor.

 

 

 

mask