Thyroid cancers - case 1422 (histological picture 3)
|
|
|
![]() |
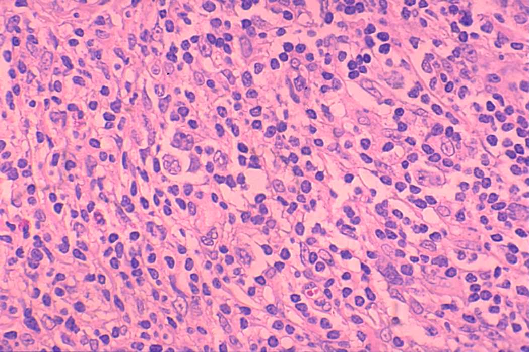
H.E. section, 400x. The tumor is composed of Reed-Sternberg cells, large polygonal cells with acidophilic cytoplasm and heterogeneous lymphoid cells.

