Thyroid cancers - case 1478 |
|
Clinical presentation: A 67-year-old woman was presented with a large, painless lump involving both lobes of the thyroid. The tumor developed within three months. The patient had dyspnea and hoarseness for 3 weeks.
Palpation: Both lobes were very firm.
Functional state: hypothyroidism (TSH-level 9.30 mIU/L, aTPO > 1000 U/L).
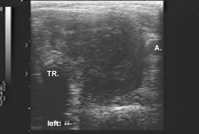
Ultrasonography: demonstrated a greatly enlarged hypoechogenic thyroid spreading retrotracheal and substernal. The vascularization was absent.
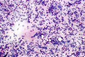
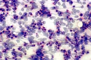
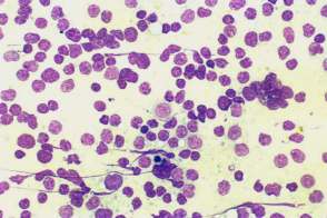
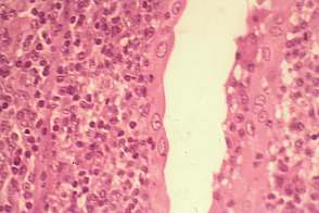
Cytology: suspicion of non Hodgkin' lymphoma. The tumor cells expressed LCA, but were negative for thyroglobulin and cytokeratin.
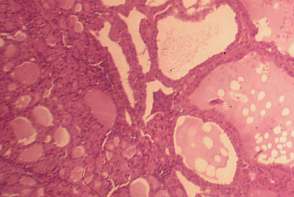
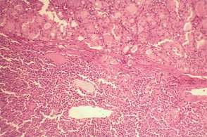
Histopathology disclosed MALT-type non Hodgkin lymphoma of the thyroid.
Comment. Based on the cytologic findings, no distinction can be made between Hashimoto's thyroiditis and most cases of MALT-type lymphoma. The role of the knowledge of the clinical presentation and patient history cannot be overemphasized.













