Thyroid cancers - case 1510 (cytologic picture 1)


Previous picture Back to Case Maximize Next picture

Right lobe, longitudinal scan

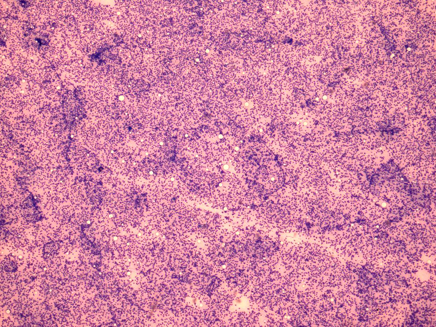
Wright-Giemsa staining, 100x.   A very cellular pattern without colloid in the background.

 

 

mask