Thyroid cancers - case 1510 (cytologic picture 2)


Previous picture Back to Case Maximize Next picture

Right lobe, longitudinal scan

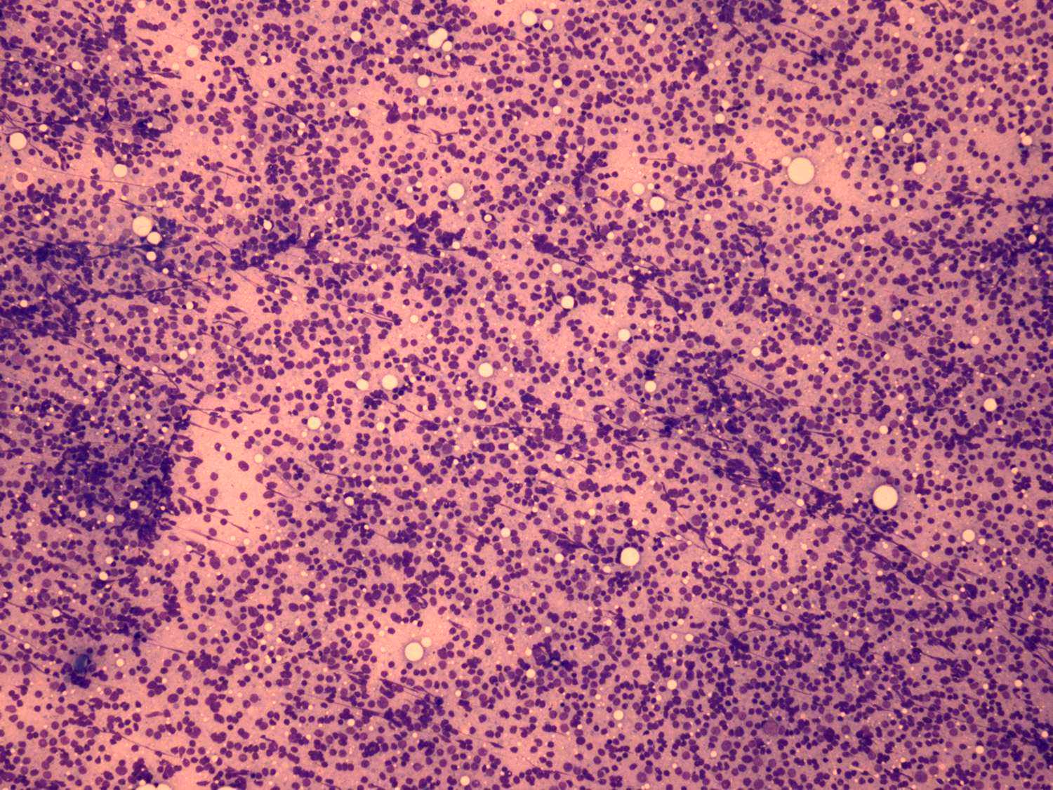
Wright-Giemsa staining, 200x.   Heterogeneous lymphoid cells are presented.

 

 

mask