Thyroid cancers - case 2515 |
|
Clinical presentation: A 66-year-old woman was referred for cytology. The patient felt discomfort in her neck while lying on her left side for a few months.
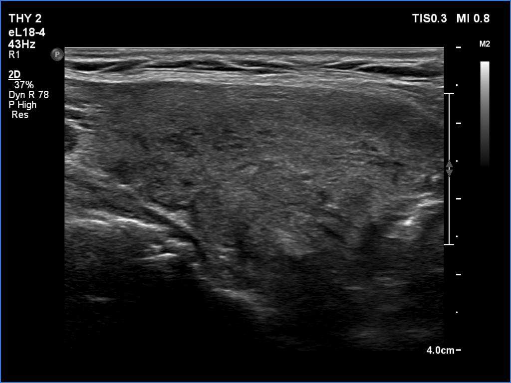
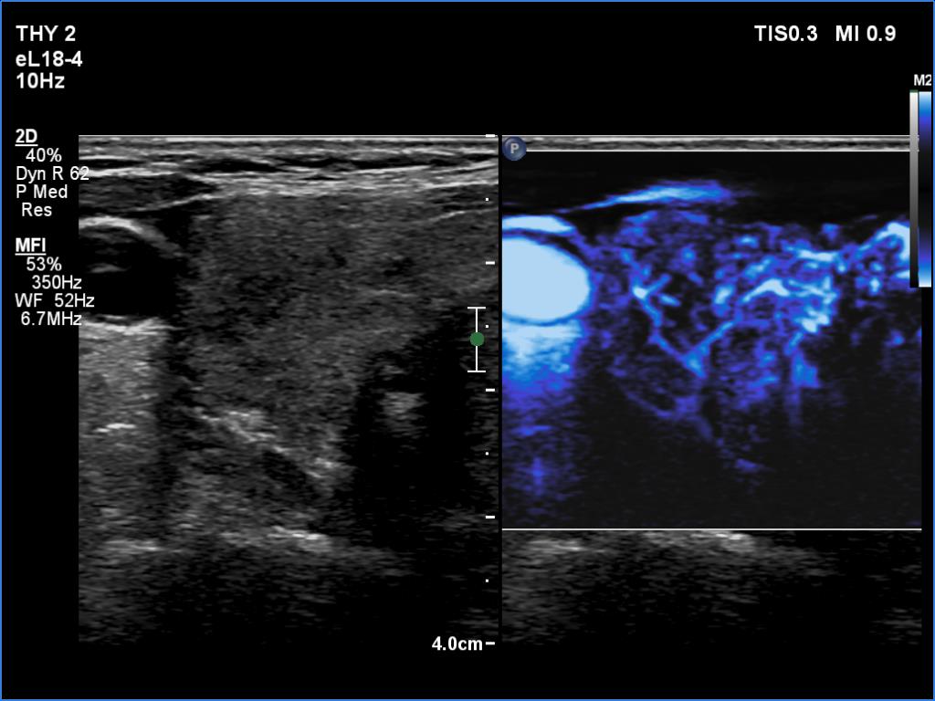
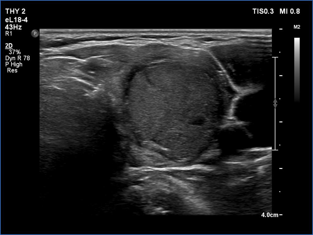
Palpation: a firm nodule in the left lobe.
Laboratory test: TSH 3.31 mIU/l.
Cytology resulted in atypical follicular tumor.
Diagnosis: Hashimoto's thyroiditis. Suspicion of follicular cancer.
Suggestion: left lobectomy and frozen section during the surgery.
Frozen section disclosed follicular cancer, therefore total thyroidectomy was performed. The definitive histopathological diagnosis was widely invasive follicular cancer and Hashimoto's thyroiditis.





