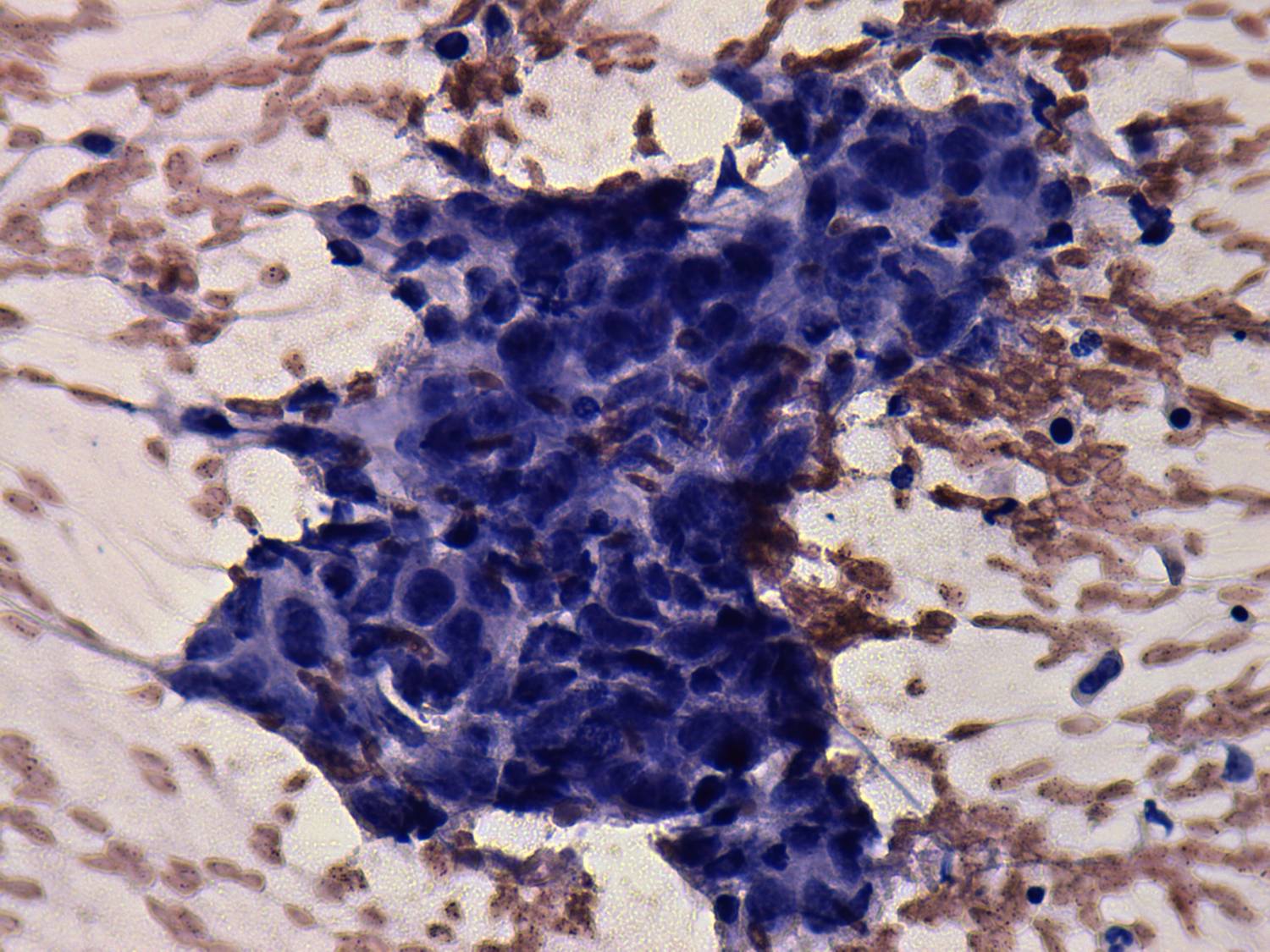
Thyroid cancers - case 528 (cytologic picture 6)


Previous picture Back to Case Maximize Next picture


Pap-smear, 400x.   Great proportion of tumor cells is elongated.  

mask