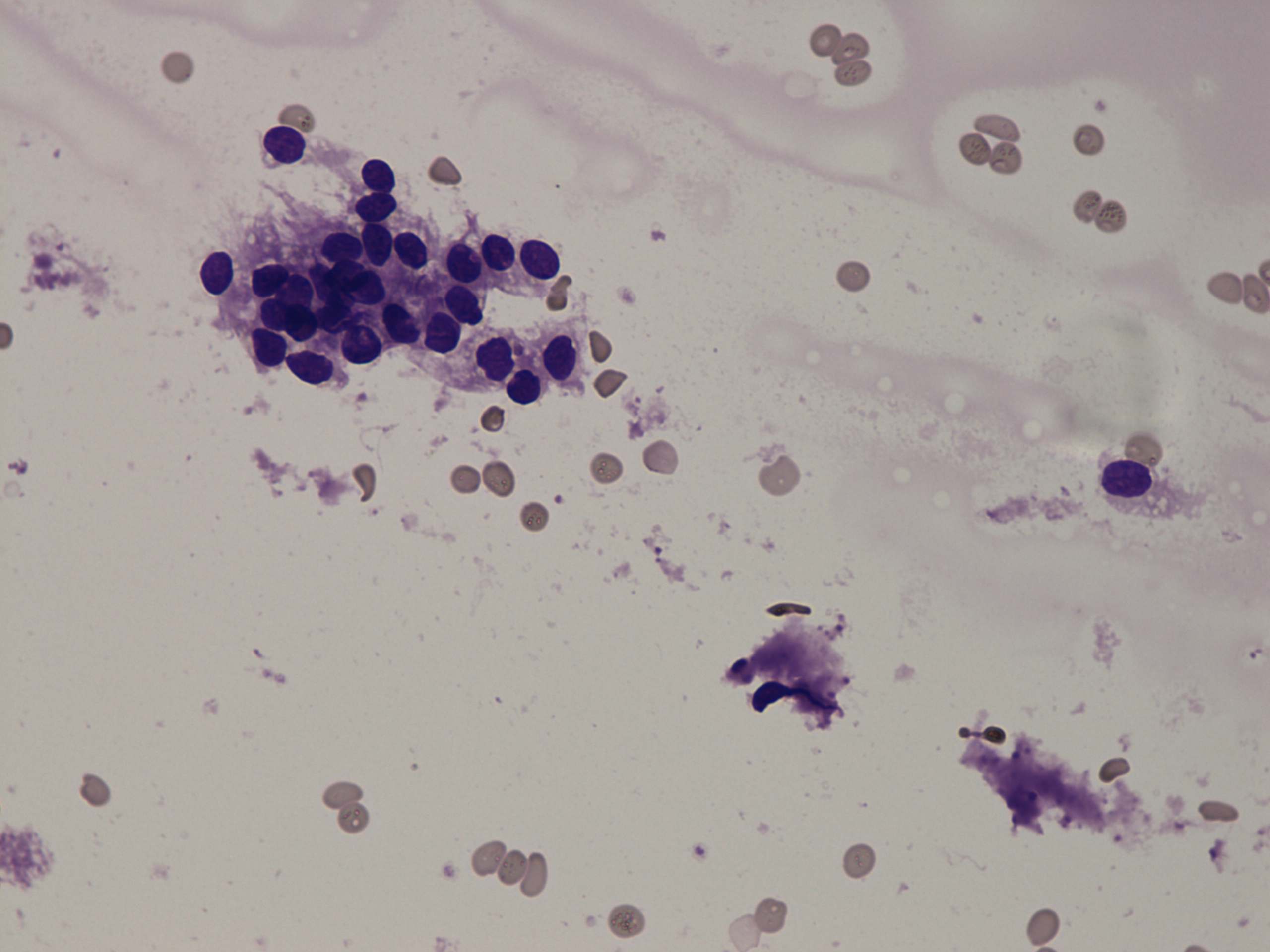
Study on 100 consecutive patients with thyroid nodule - case 009 (cytologic picture 4)


Previous picture Back to Case Maximize Next picture

Right lobe, longitudinal scan

Wright-Giemsa staining, 400x.   Follicular cells present degenerative changes.

 

 

 

 

 

mask