Study on 100 consecutive patients with thyroid nodule - case 009 (cytologic picture 5)


Previous picture Back to Case Maximize Next picture

Right lobe, longitudinal scan

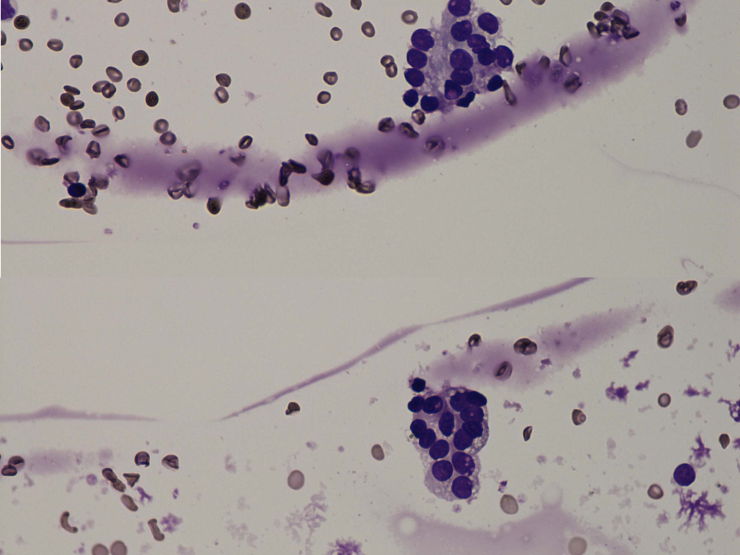
Wright-Giemsa staining, 400x.   There is no significant atypia.

 

 

 

 

 

mask