Study on 100 consecutive patients with thyroid nodule - case 025 |
|
Clinical presentation: A 59-year-old woman requested evaluation of a nodular goiter which has been known for 7 years. The nodule was discovered by her family physician. Except for palpation no examination was performed. The patient noticed a slow increase in the nodule located in the isthmic part which caused cosmetic problems.
Palpation: a not firm nodule in the isthmus. The right lobe was also nodular on palpation.
Functional state: euthyroidism (TSH 2.88 mIU/L).
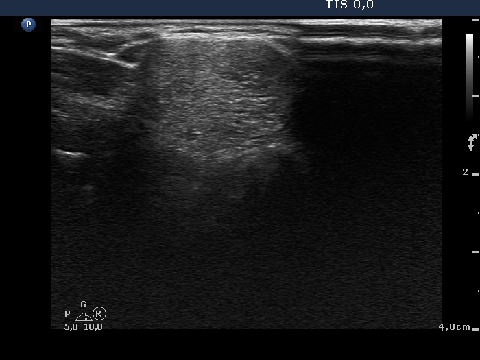
Ultrasonography. The thyroid was echonormal. There were multiple moderately hypoechogenic nodules in the right lobe making the appearance micronodular. There was a relatively larger hyperechogenic nodule in the isthmus. The left lobe contained a hypoechogenic lesion, which presented blurred borders, microcalcifications and an increase intranodular blood flow.
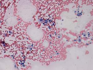
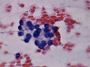
Cytology was performed from the hypoechogenic lesion in the left thyroid. The FNA was not diagnostic. Three weeks later we repeated the cytology which resulted in benign follicular proliferation.
Suggestion. There was no indication of surgery except for cosmetic reason. The patient decided to continue follow-up.



















