Prev

Study on 100 consecutive patients with thyroid nodule - case 033

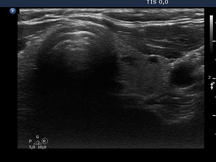
Nodular goiter

Next

Clinical presentation: A 58-year-old woman was referred for evaluation of a nodular goiter which was discovered on ultrasound screening.

Palpation: no abnormality.

Functional state: euthyroidism (TSH 2.94 mIU/L).

Ultrasonography. The thyroid was echonormal. Beside tiny hypoechoic areas, two larger lesions were found in the right lobe, a moderately hypoechoic and a cystic one.

Cytology of the moderately hypoechoic lesion resulted in benign cystic-colloid goiter.

Suggestion: ultrasound in 5 years.

 

 

 

 

 

 

 

 

 

 

 

 

mask