Study on 100 consecutive patients with thyroid nodule - case 034 |
|
Clinical presentation: A 47-year-old woman came to a follow-up. She was diagnosed with nodular goiter 19 years ago. Cytology resulted in benign lesion. Recently, the nodule was described as suspicious on ultrasound examination which was performed in another hospital.
Palpation: a not firm nodule in the isthmus.
Functional state: euthyroidism (TSH 1.44 mIU/L).
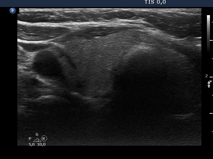
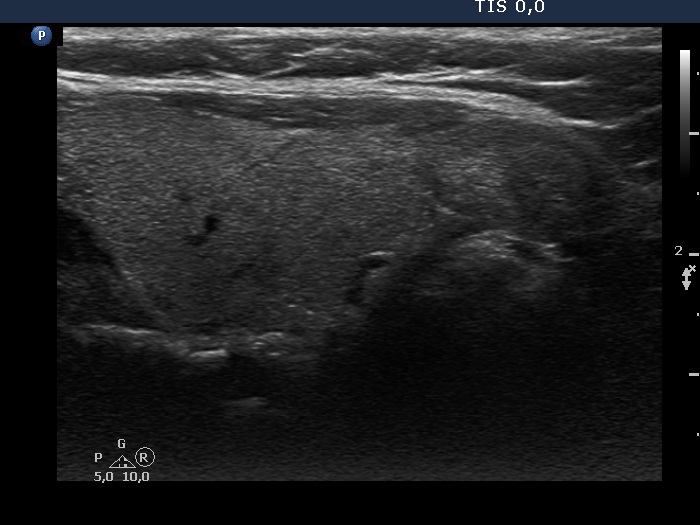
Ultrasonography. The thyroid was echonormal. There was a moderately hypoechoic nodule in the isthmus. The nodule had several intranodular hyperechogenic figures, probably back wall figures. The nodule did not show increase in size over the part two decades.
Cytology resulted in benign lesion.
Suggestion. Ultrasound in 5 years.










