Study on 100 consecutive patients with thyroid nodule - case 034 (cytologic picture 1)
|
|
|
![]() |
|
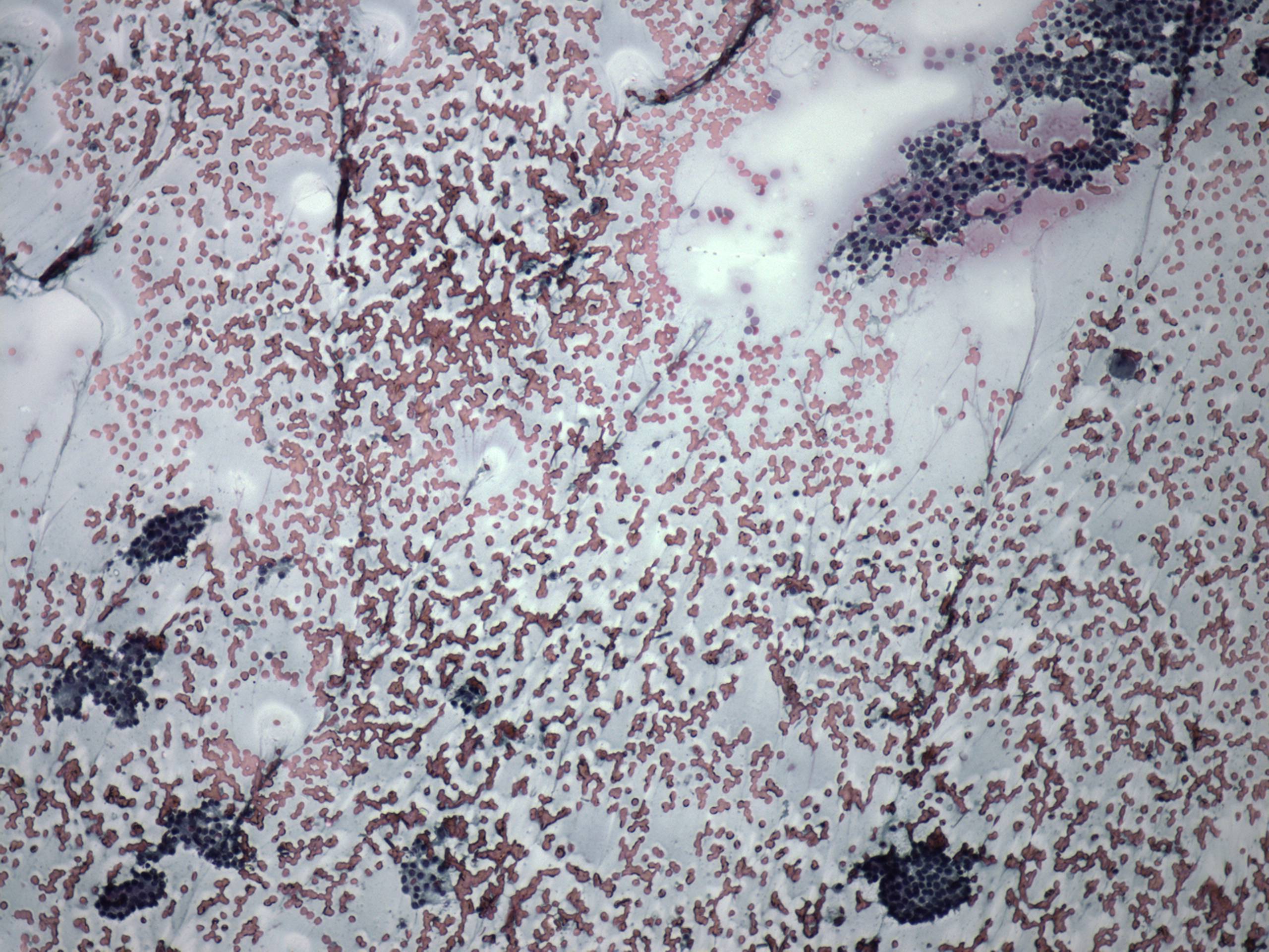
Pap-smear, 100x. There is diffuse colloid in the background. Follicular cells are located in cohesive monolayered sheets.

