Study on 100 consecutive patients with thyroid nodule - case 034 (cytologic picture 2)


Previous picture Back to Case Maximize Next picture

Right lobe, longitudinal scan

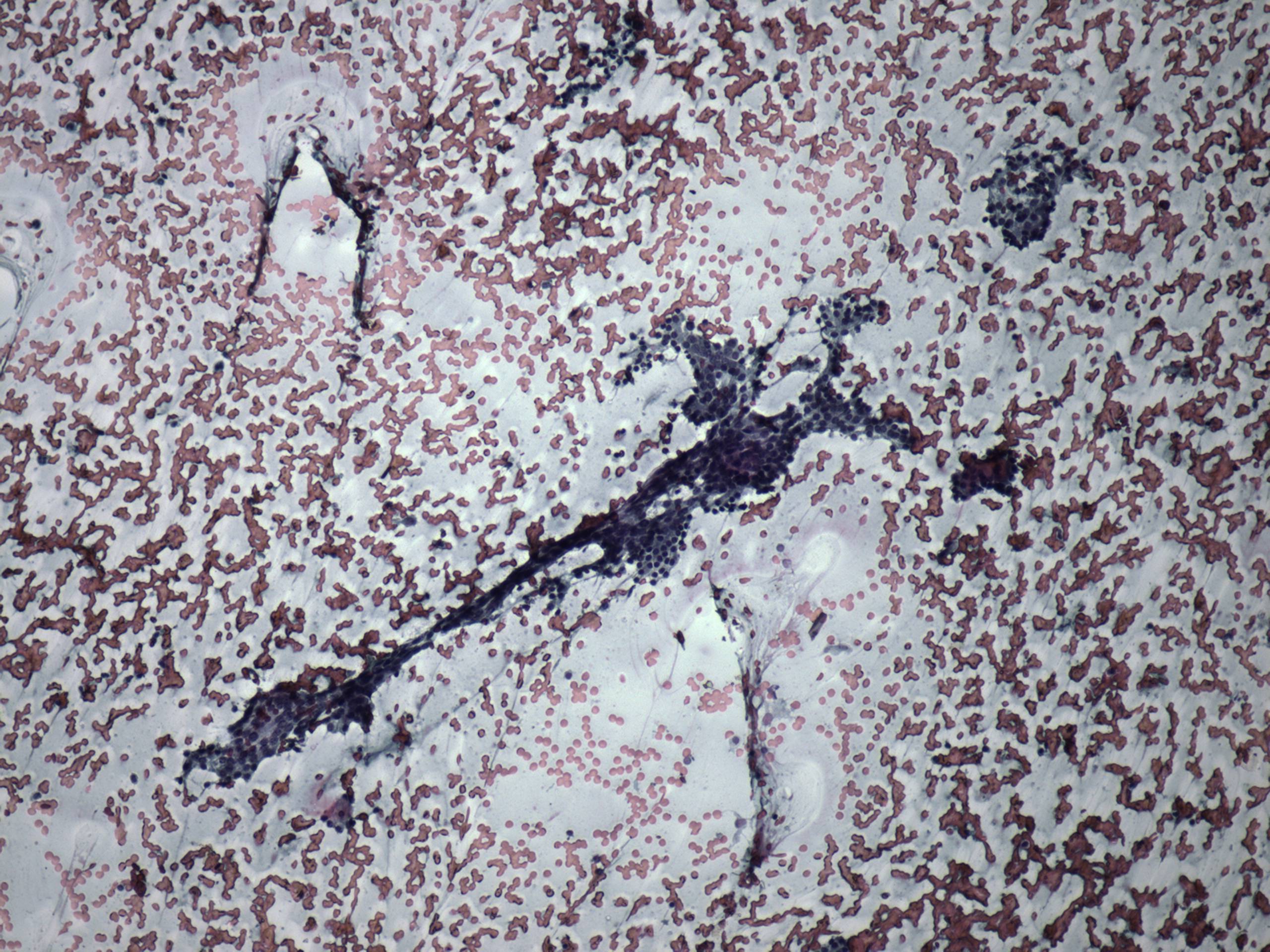
Pap-smear, 100x.  Groups of follicular cells on a fibrovascular stalk.

 

 

 

 

 

mask