Prev

Study on 100 consecutive patients with thyroid nodule - case 036

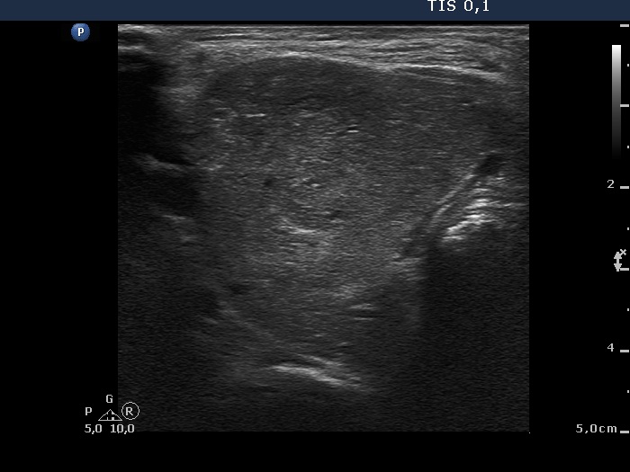
Nodular goiter

Next

Clinical presentation: A 44-year-old woman was referred for evaluation of typical complaints suggesting hyperthyroidism.

Palpation: enlarged lobes with multiple nodules. None of the nodules was hard.

Functional state: hyperthyroidism (TSH 0.001 mIU/L, FT4 71.9 pM/L).

Ultrasonography. The thyroid was enlarged and contained numerous hyperechogenic nodules. There was a larger echonormal nodule in the ventrolateral part of the left lobe.

Cytology of one of the hyperechogenic nodules resulted in benign lesion.

Suggestion: daily 40 mg methimazole was administered. Three month later the patient underwent on total thyroidectomy.

Histopathology disclosed benign hyperplastic nodules.

Comment. The cytological pattern is not calming. Nevertheless, the atypia does not meet the criteria of any subtypes of thyroid carcinomas.

 

 

 

 

 

 

 

 

 

 

 

mask