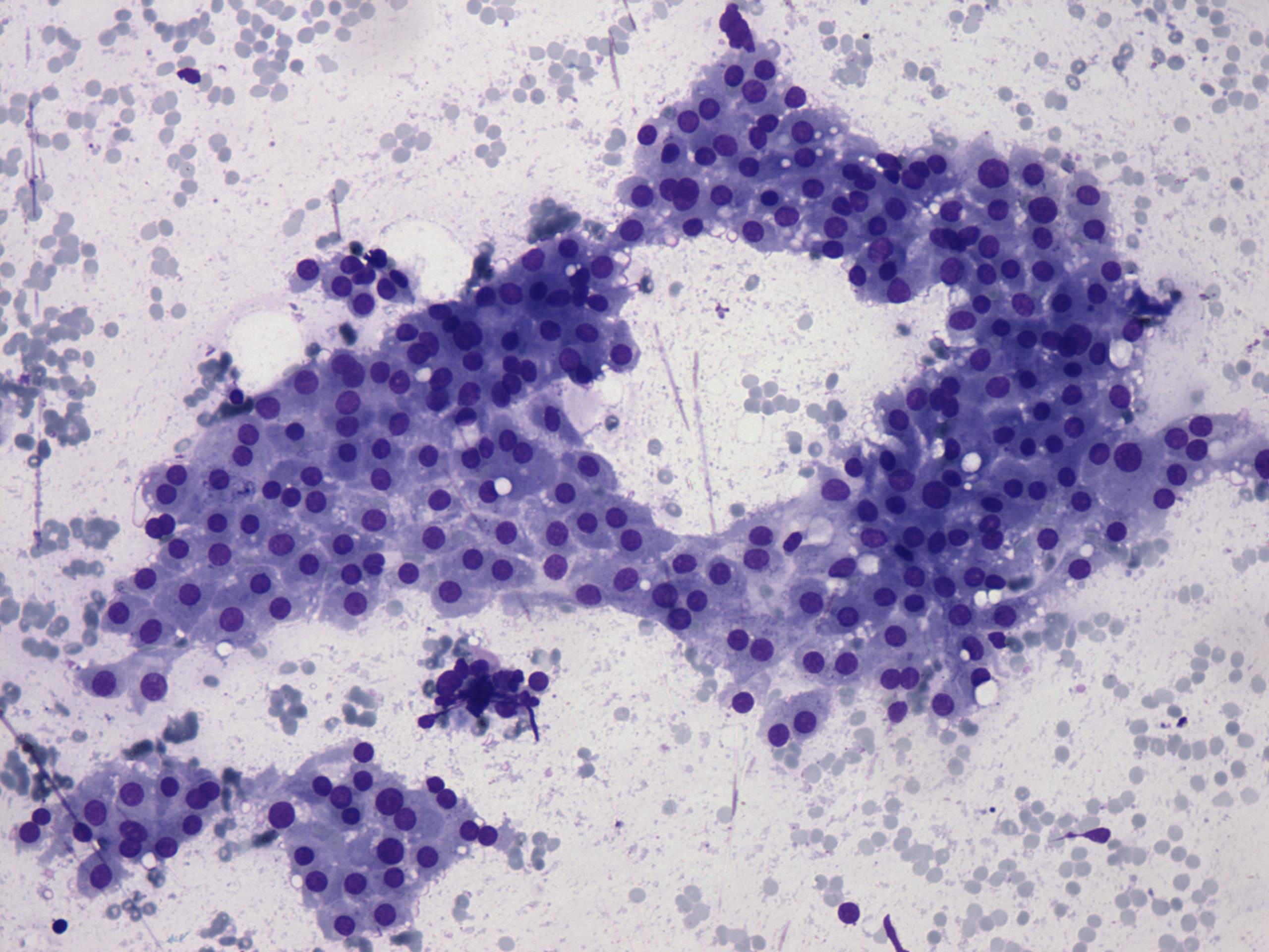
Consecutively operated patients with autoimmune thyroid disease - case 34 (477) (cytologic picture 4)
|
|
|
![]() |
|
Wright-Giemsa staining, 200x. Follicular cells are located in loose clusters.

