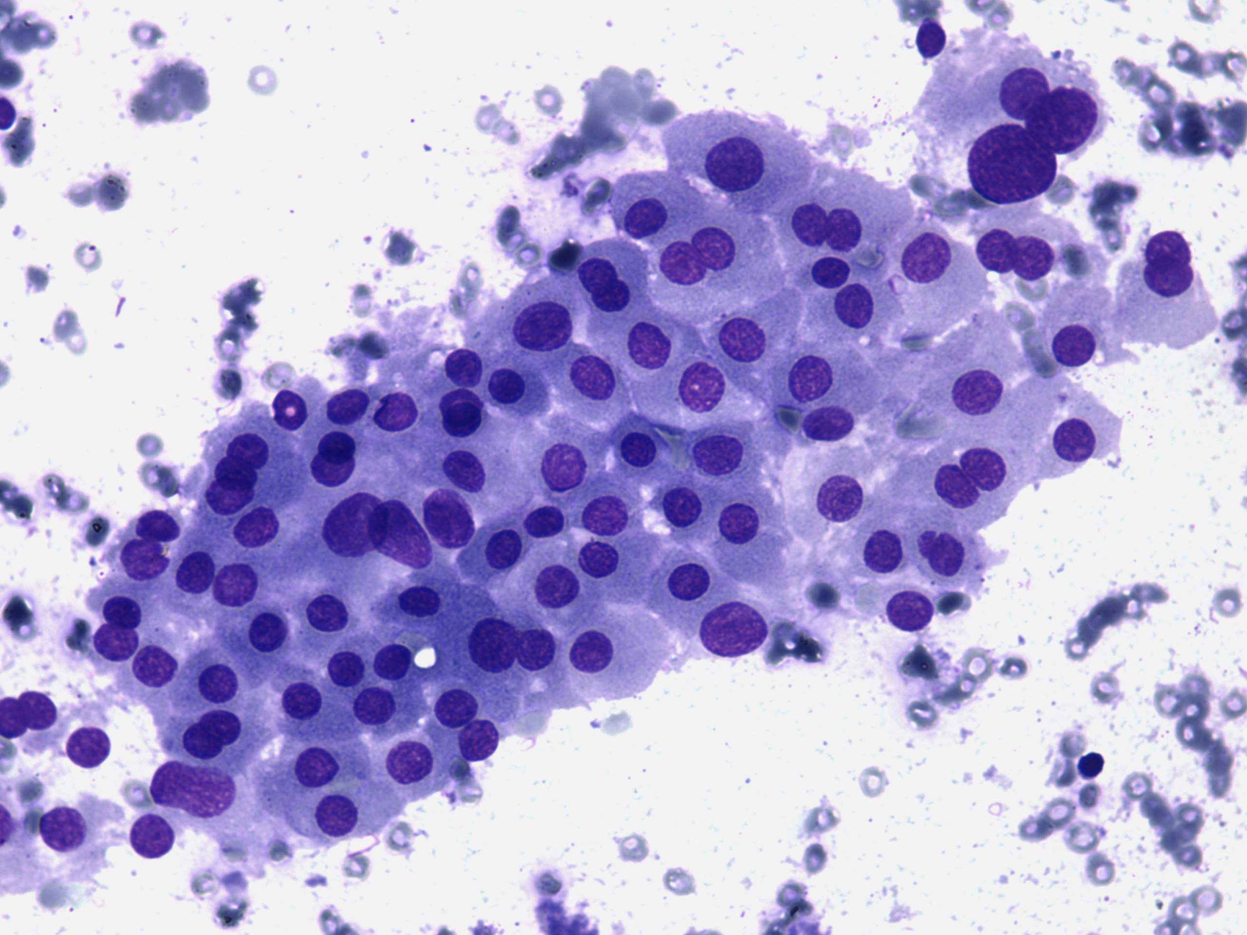
Consecutively operated patients with autoimmune thyroid disease - case 34 (477) (cytologic picture 5)
|
|
|
![]() |
|
Wright-Giemsa staining, 400x. The presence of pleomorphic cells has minimal if any relevance in the event of an oxyphilic lesion.

