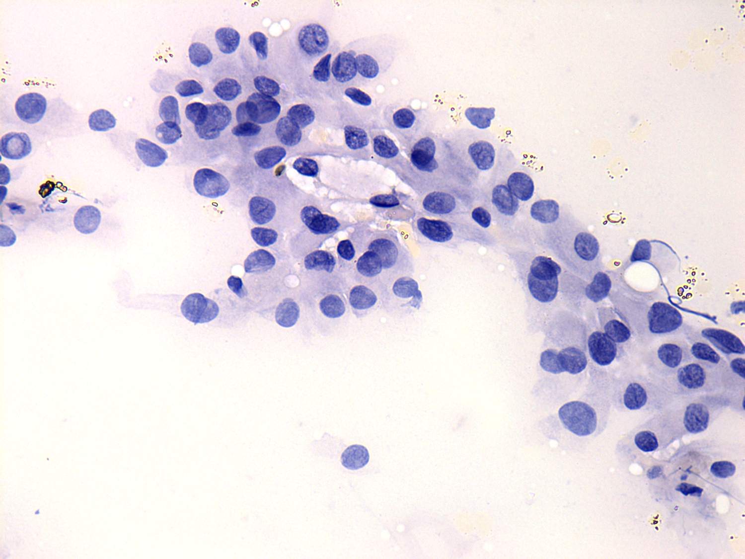
100 consecutive cases of papillary cancer - case 036 (cytologic picture 3)


Previous picture Back to Case Maximize Next picture

Right lobe, longitudinal scan

Pap-smear, 400x.   Note nuclear crowding and a nucleus on the left with a typical inclusion.

 

 

 

mask