100 consecutive cases of papillary cancer - case 036 (cytologic picture 4)
|
|
|
![]() |
|
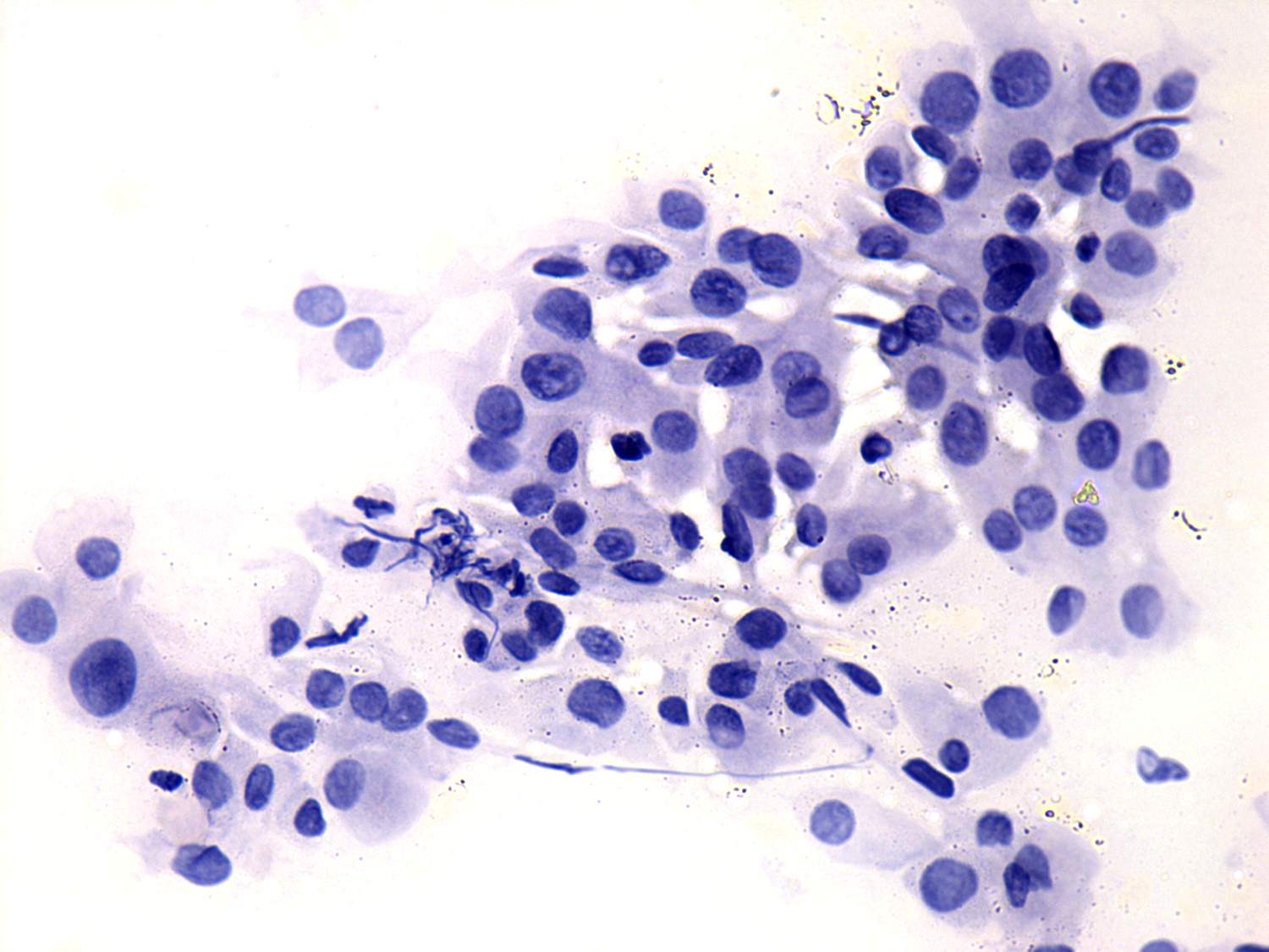
Pap-smear, 400x. Several cells present mild pleomorphism. There are a few hyperchromatic lymphocytes and nuclear debris. These are signs of a (focal) lymphocytic thyroiditis. Note the disarranged structure with nuclear crowding and overlapping.

