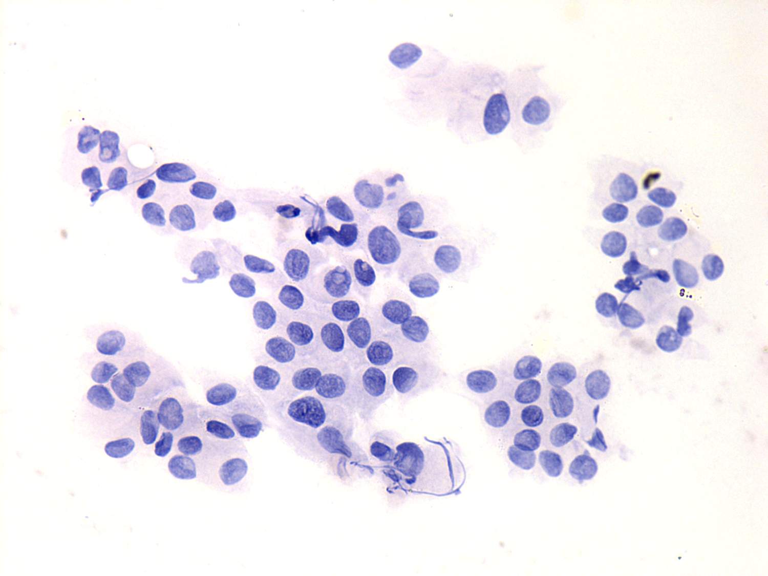
100 consecutive cases of papillary cancer - case 036 (cytologic picture 5)


Previous picture Back to Case Maximize Next picture

Right lobe, longitudinal scan

Pap-smear, 400x.  Several cells present inclusion and one does a typical groove.

 

 

 

mask