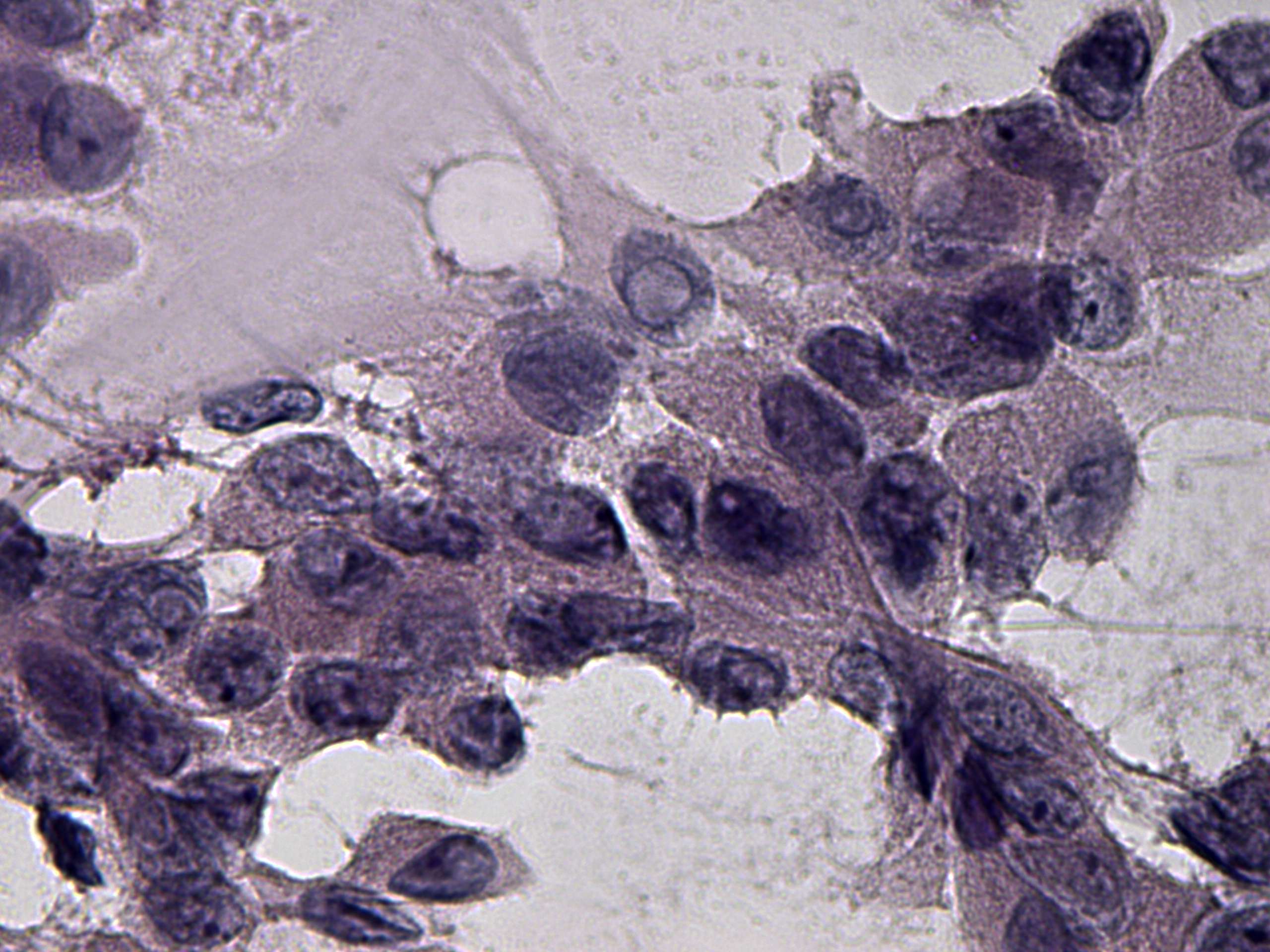
100 consecutive cases of papillary cancer - case 044 (cytologic picture 7)
|
|
|
![]() |
|
Pap-smear, 1000x. Follicular cells are located in irregular clusters with nuclear crowding. Note the presence of inclusion and groove.

