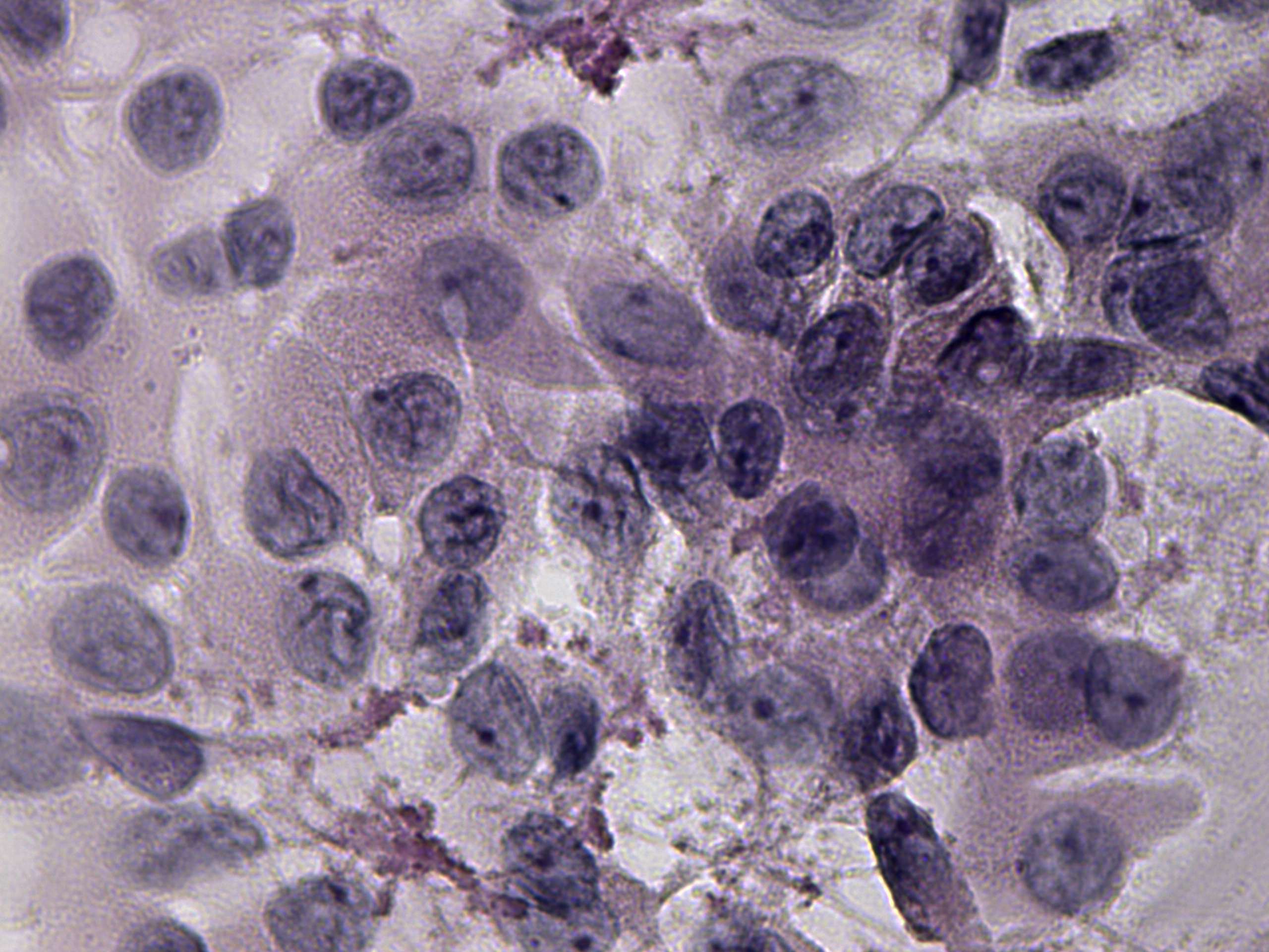
100 consecutive cases of papillary cancer - case 044 (cytologic picture 8)


Previous picture Back to Case Maximize  

Right lobe, longitudinal scan

Pap-smear, 1000x.   The chromatin structure is coarsely granular.

mask