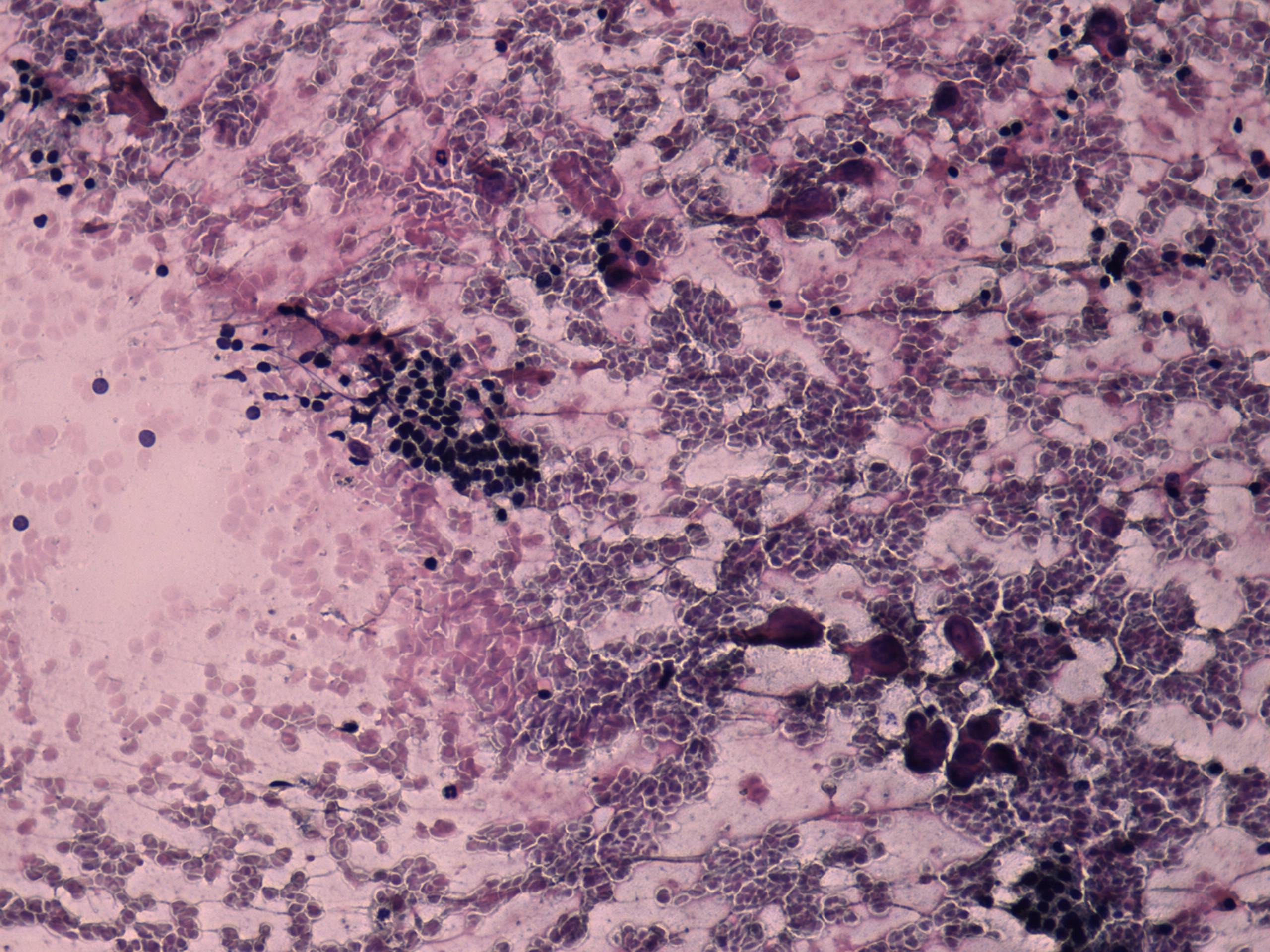
100 consecutive cases of papillary cancer - case 058 (cytologic picture 2)
|
|
|
![]() |
|
Pap-smear, 200x. There are several groups of hyperchromatic, pyknotic cells and a few enlarged, atypical forms with abundant cytoplasm.

