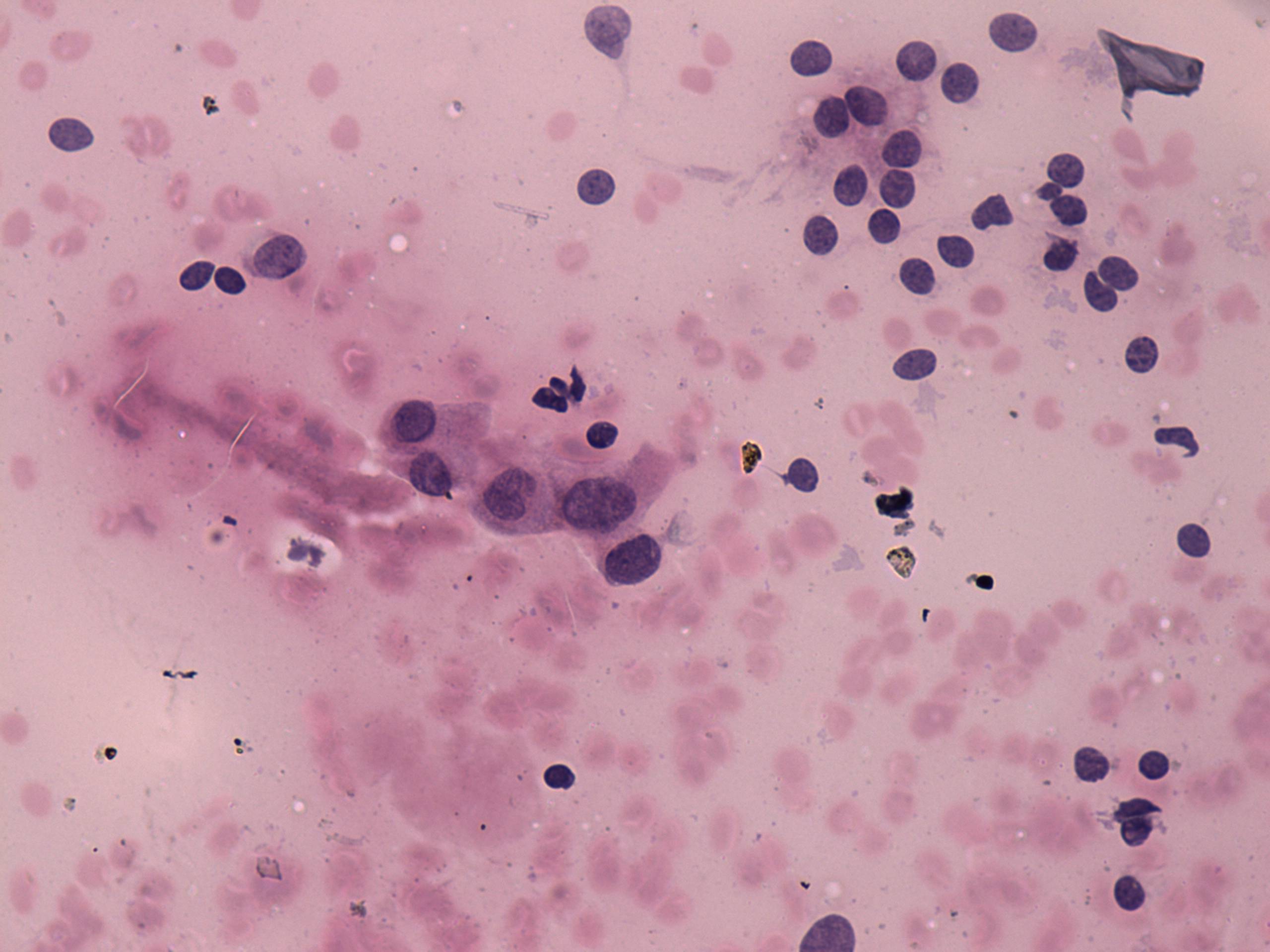
100 consecutive cases of papillary cancer - case 058 (cytologic picture 3)
|
|
|
![]() |
|
Pap-smear, 400x. There are atypical cells in the center of the image while regular follicular cells on the right.

