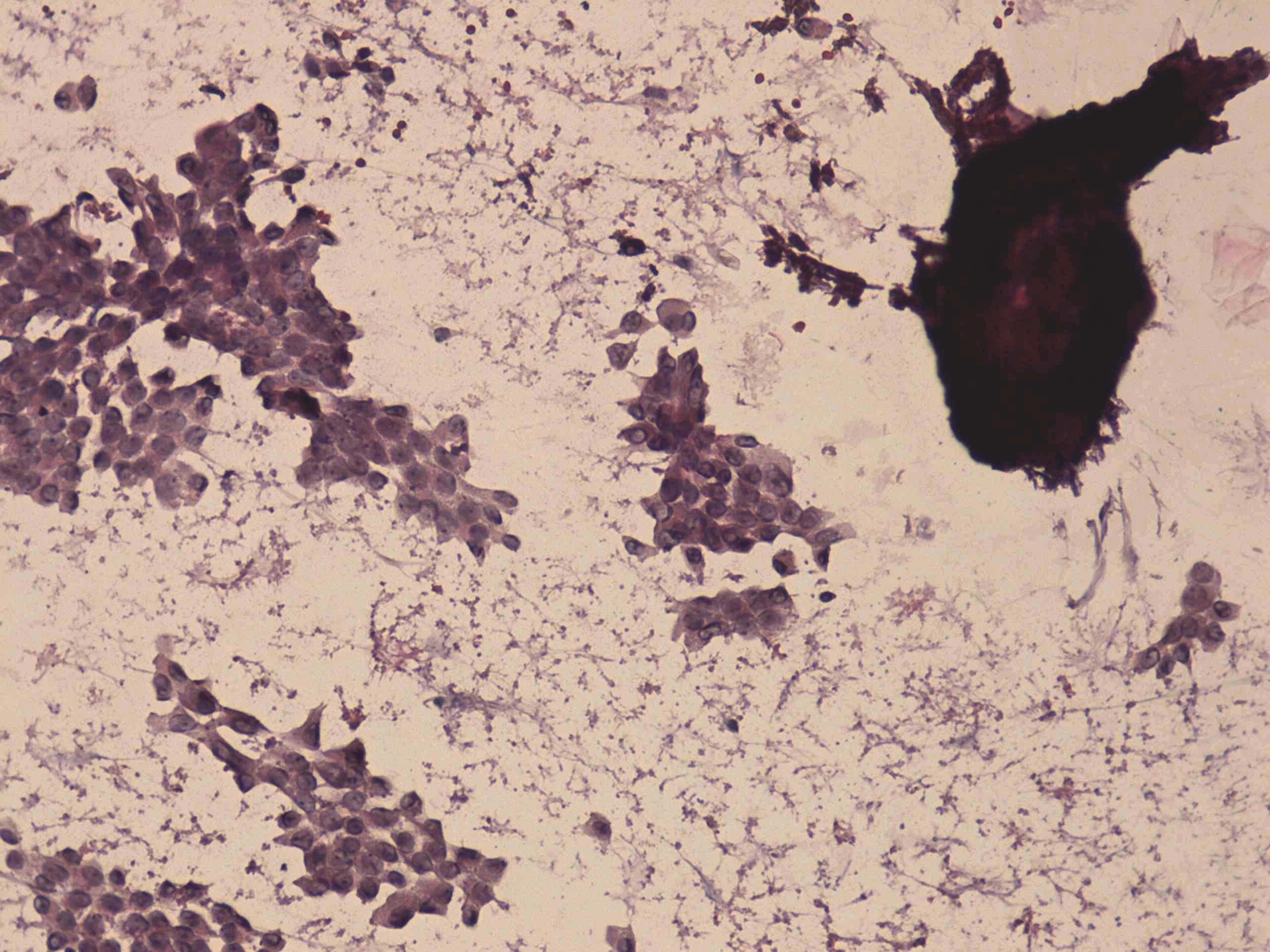
100 consecutive cases of papillary cancer - case 060 (cytologic picture 4)


Previous picture Back to Case Maximize Next picture

Right lobe, longitudinal scan

Pap-smear, 200x.   The psammoma body at higher magnification.

mask