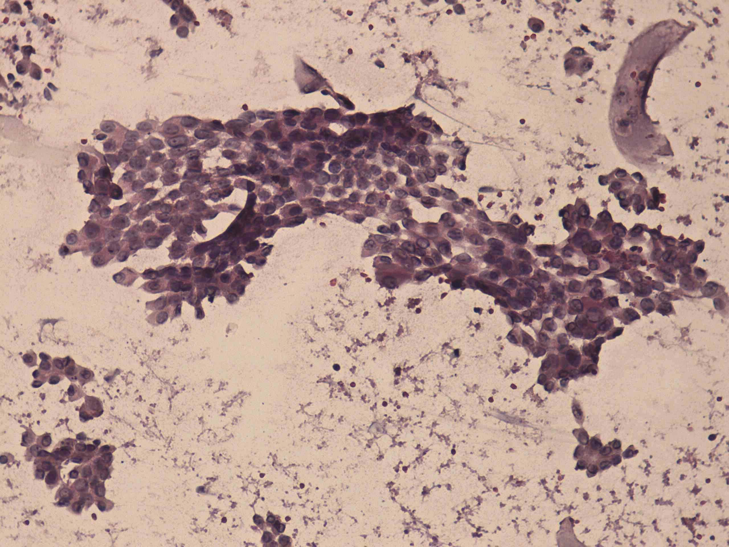
100 consecutive cases of papillary cancer - case 060 (cytologic picture 5)


Previous picture Back to Case Maximize Next picture

Right lobe, longitudinal scan

Pap-smear, 200x.   Note nuclear crowding and overlapping.

mask