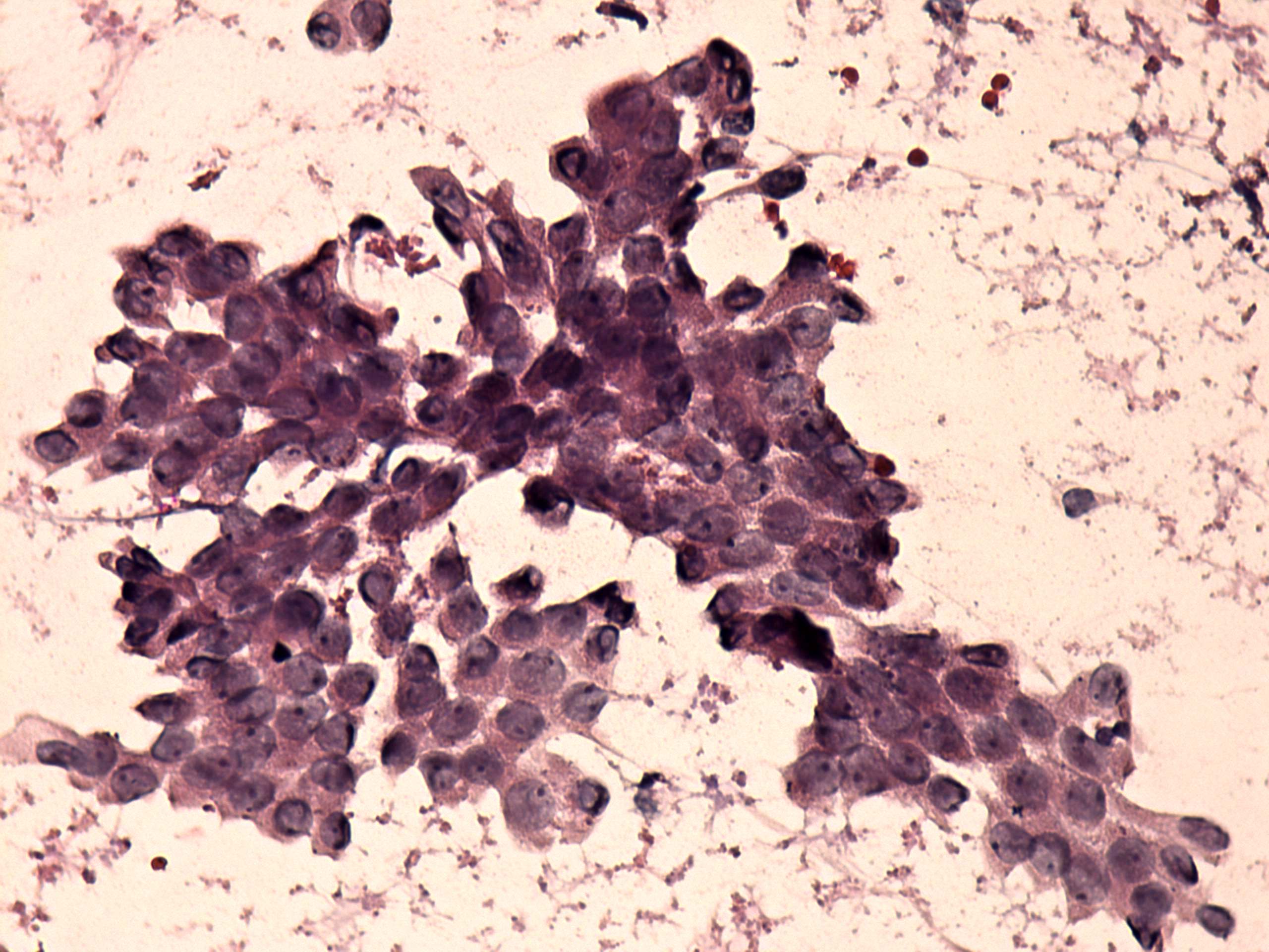
100 consecutive cases of papillary cancer - case 060 (cytologic picture 9)
|
|
|
![]() |
|
Pap-smear, 400x. Follicular cells have prominent nucleoli. The presence of anisonucleosis has limited significance. This complex cluster comes from an arborizing papillary structure.

