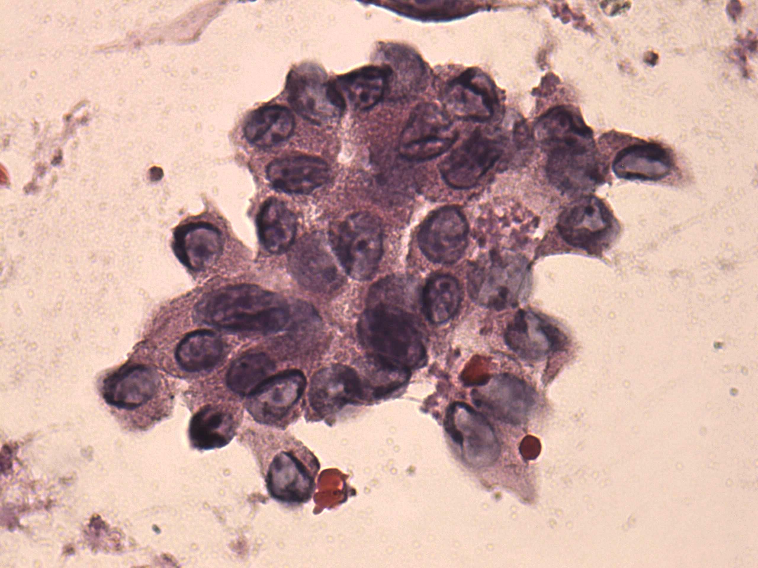
100 consecutive cases of papillary cancer - case 060 (cytologic picture 10)


Previous picture Back to Case Maximize Next picture

Right lobe, longitudinal scan

Pap-smear, 1000x.  Great proportion of cells presents typical groove.

mask