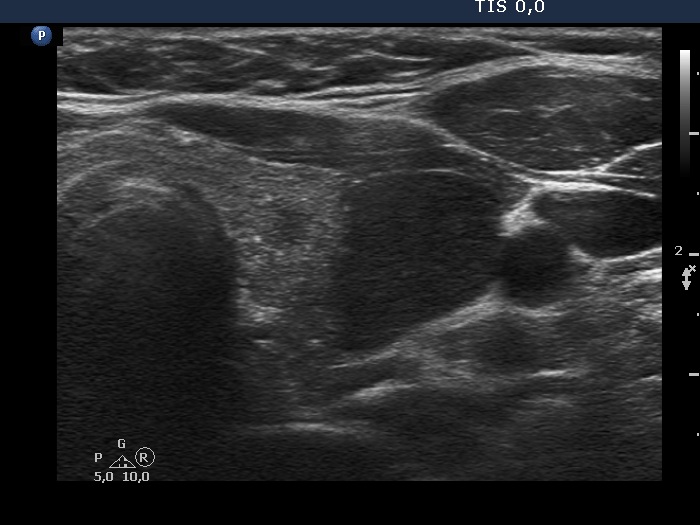
100 consecutive cases of papillary cancer - case 076 (ultrasonographic picture 5)
|
|
|
|
Left lobe, another transverse view. The nodule shows abutting contours, the perimeter abutment is between 25 and 50%.
