100 consecutive cases of papillary cancer - case 082 |
|
Clinical presentation: A 33-year-old man requested evaluation of a nodule which was discovered by himself 6 months ago.
Palpation: a firm nodule in the left lobe.
Laboratory tests: TSH 0.86 mIU/L.
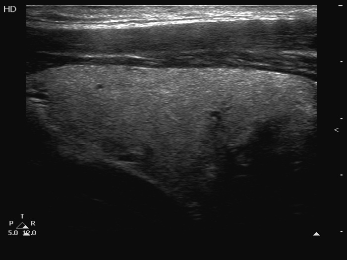
Ultrasonography. The thyroid was echonormal. There was a moderately hypoechoic nodule in the ventromedial part of the left lobe. The nodule had equivocal intranodular echogenic figures and showed blurred borders. The intranodular vascularization was increased.
Cytology resulted in papillary cancer.
Histopathology revealed a papillary cancer.





