100 consecutive cases of papillary cancer - case 100 (ultrasonographic picture 10)


Previous picture Back to Case Next picture

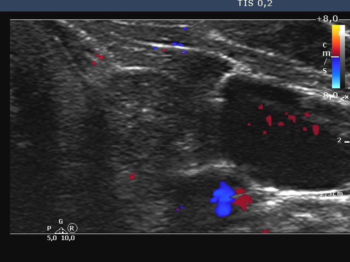
Right lobe, longitudinal scan

Left lobe, transverse scan, color Doppler mode - enlarged view.

 

 

 

mask