Menu
Papillon Seminars 2023-2024
Home
1 New ETA guideline
2 Echogenic figures
3 US of thyroid cancer
January 18, 2024
Home
Lectures
Cases to be discussed
4 Cyto/pathology
5 Interventional
PAPILLON SEMINARS on THYROID ULTRASOUND
Pre- and postoperative ultrasound in thyroid cancers
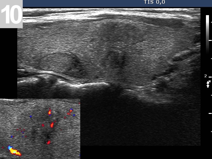
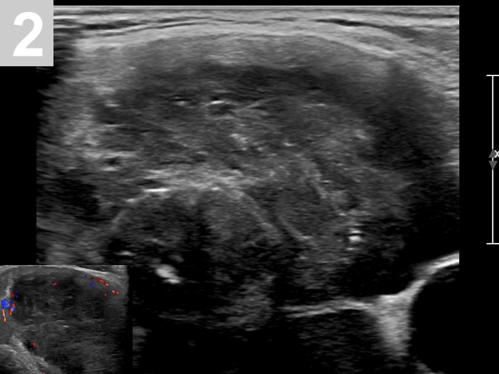
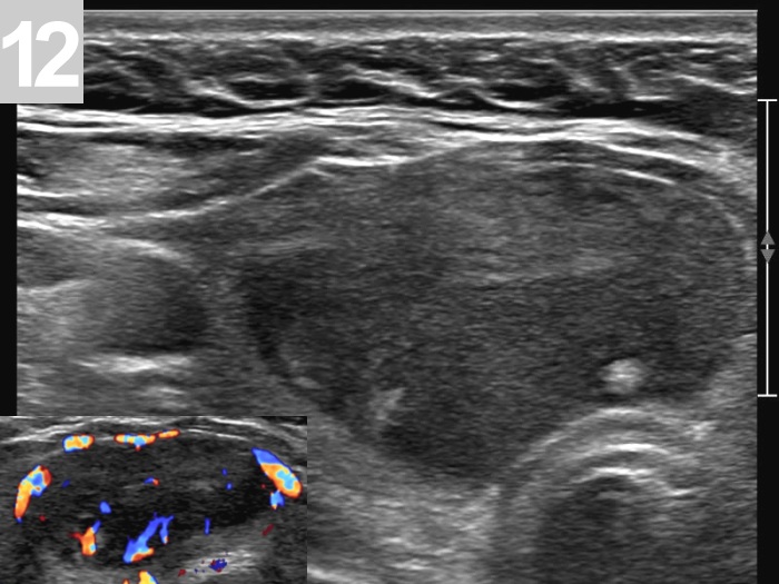
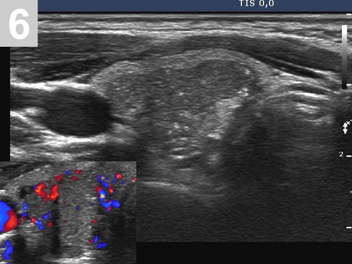
Cases to be discussed on January 18, 2024
Survey
Survey for the January 18, 2024 Papillon Seminar