Introduction - case 1407 (ultrasonographic picture 14)


Previous picture Back to Case Next picture

Right lobe, longitudinal scan

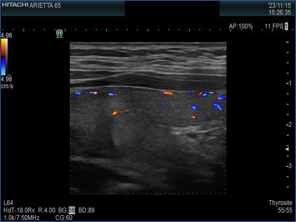
Left lobe, transverse scan, color Doppler mode. The vascularity is not specific.

 

 

 

 

 

 

 

mask