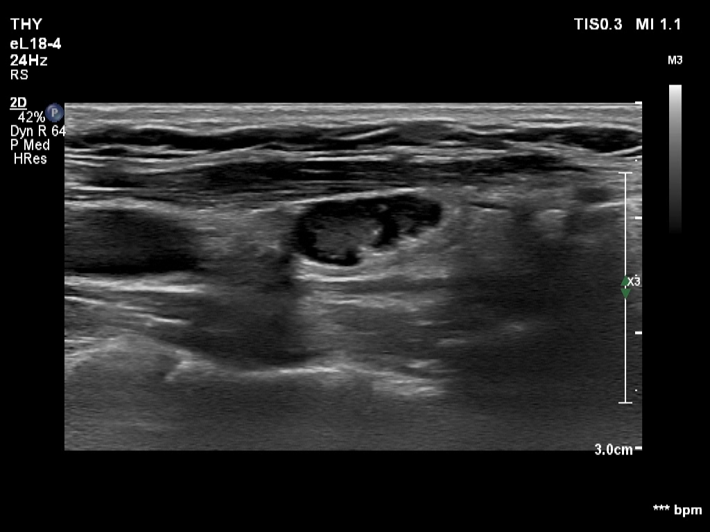
Introduction - case 162 (ultrasonographic picture 9)


Previous picture Back to Case Next picture

Right lobe, longitudinal scan

Left lobe, another longitudinal scan - with better harmonization. Great proportion of the node seems to be deceptively cystic.

 

 

 

 

mask