Introduction - case 162 (ultrasonographic picture 11)


Previous picture Back to Case Next picture

Right lobe, longitudinal scan

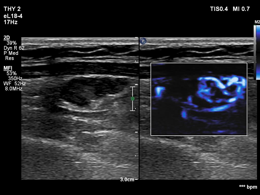
Left lobe, longitudinal scan, microflow imaging. The lesion has numerous vessels.

 

 

 

 

mask