Introduction - case 189 |
|
Clinical presentation: A 43-yr-old man was referred for evaluation of a nodular goiter detected on carotid Doppler examination. He has been evaluated for hypertension. The man's weight was 140 kg and his height was 180 cm.
Palpation: no abnormality.
Laboratory tests: TSH 2.74 mIU/L.
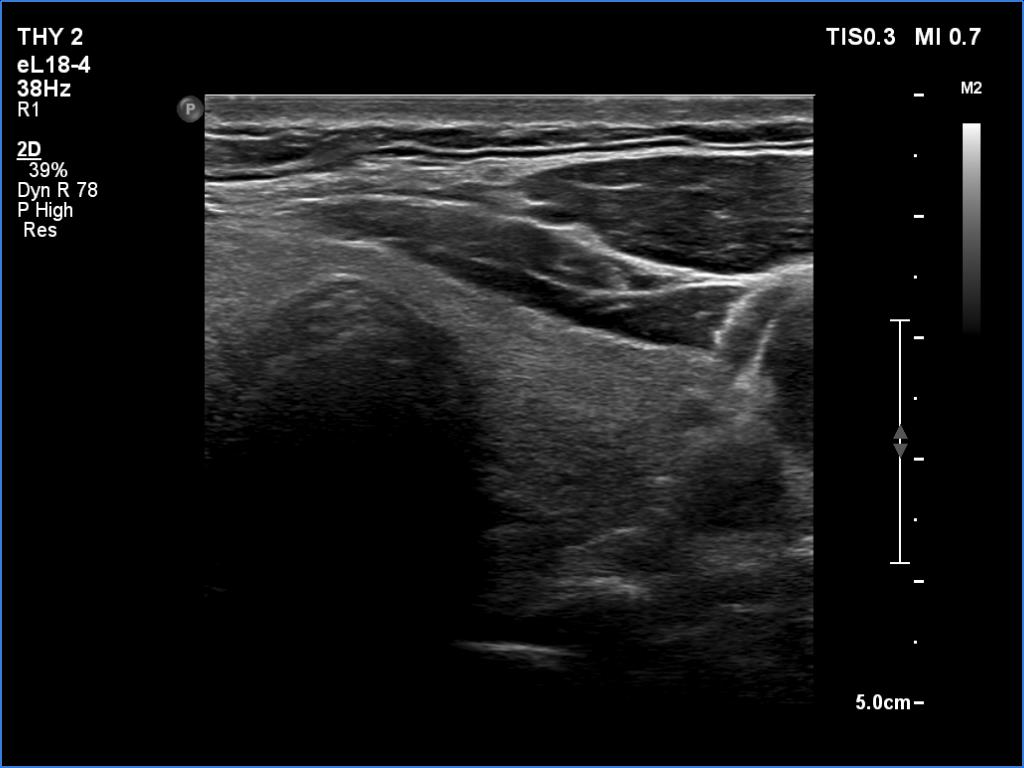
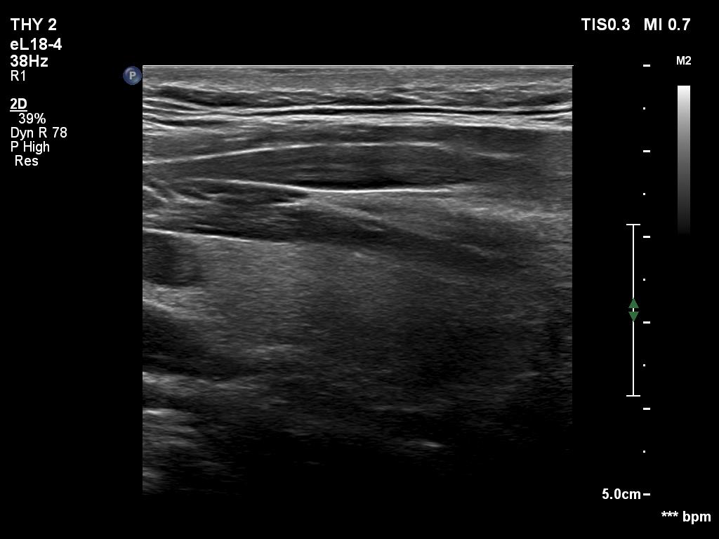
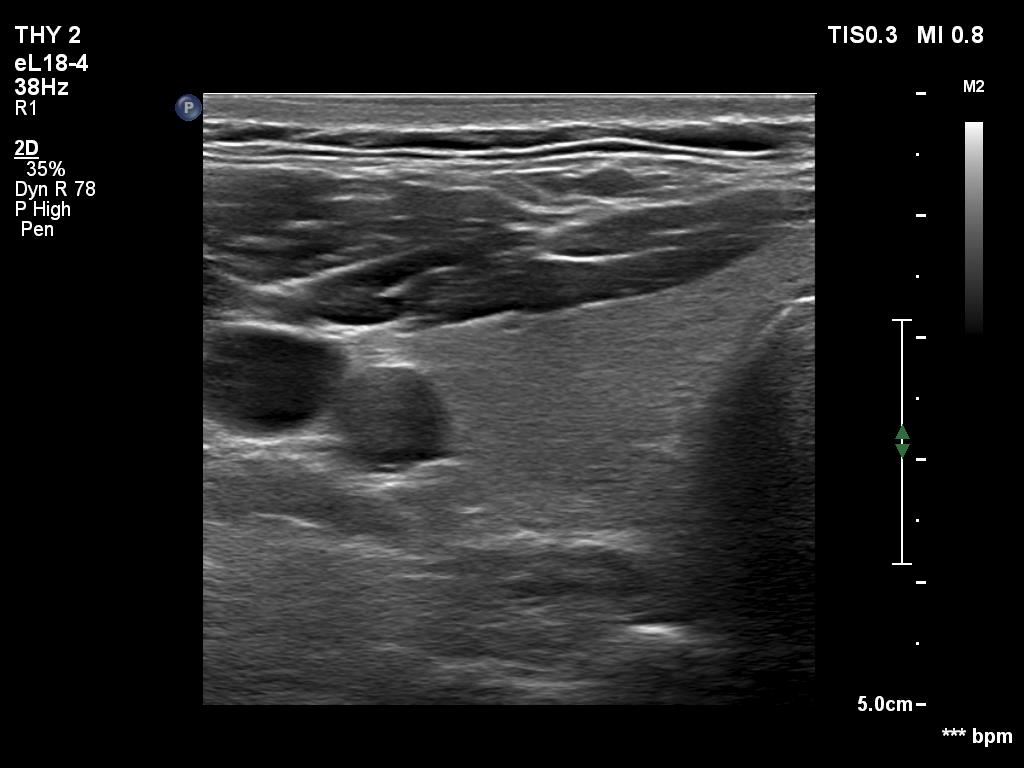
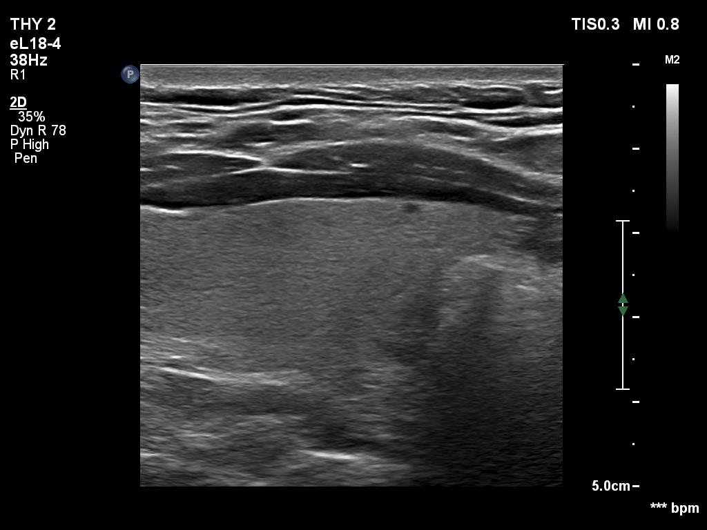
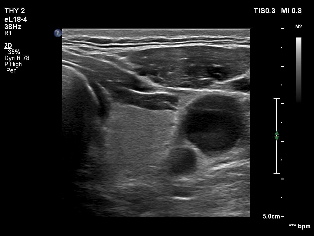
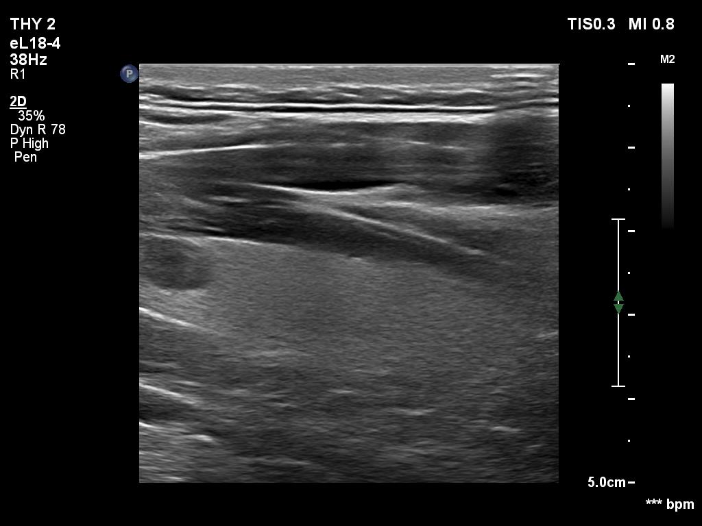
Ultrasonography. The thyroid was echonormal and had two cystic lesions in the left lobe. With higher frequency, the dorsal part of both lobes presented with hypoechoic blurred areas. With frequency decreased, these areas have disappeared.
Suggestion: ultrasound in five years.
Comment. This case illustrated the well-known inverse relation between penetrance and resolution. Better the former worst the latter and conversely. This has particular and practical importance if we examine obese patients using high-end equipment with high frequency. In such patients the obesity can significantly worsen the penetrance. This can be solved by decreasing the frequency and remove all software harmonization.









